CBX4 antibody

Cat. No. GTX24189
Cat. No.  GTX24189
Anti-CBX4 antibody used in Western Blot (WB). GTX24189
GTX24189 WB Image

WB analysis of flag-tagged human CBX4 protein using GTX24189 CBX4 antibody. Panel on the left shows the blot probed with GTX24189 CBX4 antibody. The panel on the right is the same blot reprobed with anti-FLAG antibody to confirm the presence of FLAG tagged recombinant CBX4 in the lysate.

1 / 3
Anti-CBX4 antibody used in Western Blot (WB). GTX24189
GTX24189 WB Image

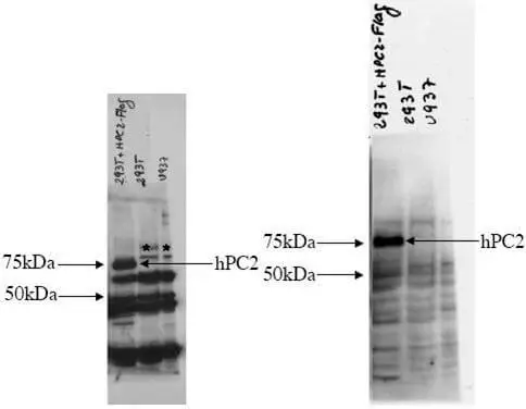
Western blotting. Analysis shows the detection of human PC2 in probed lysates using GeneTex Affinity Purified anti-hPC2 antibody (GTX24189). The panel on the left shows the blot probed with anti-hPC2. The panel on the right is the same blot reprobed with anti-FLAG antibody to confirm the presence of FLAG tagged recombinant PC2 in the lysate. In the left panel the band labeled as hPC2 is FLAG-tagged transfected hPC2 in 293T cells. The bands labeled with stars are likely endogenous hPC2. In the right panel the band labeled hPC2 is FLAG-tagged transfected hPC2 in 293T cells.

2 / 3
Anti-CBX4 antibody used in Immunocytochemistry/ Immunofluorescence (ICC/IF). GTX24189
GTX24189 ICC/IF Image

GeneTex anti-hPC2 antibody (GTX24189) was used for immunofluorescent imaging of human cells (U2OS). The image reveals the expected discrete nuclear structure that is termed the PcG body corresponding to the known localization of PC2. IF was performed after fixation in PBS with 4% PF for 5 min, permeabilization with 0.5% Polyethylene glycol tert-octylphenyl ether-PBS for 5 min, and blocking with 5% milk / 0.2% Tween for 1 h. Primary antibody used at 1:200 in 5% milk / 0.2% Tween for 1 h, secondary antibody for 30 min. All blocking and incubation steps carried out at 37º C. Nuclei were counterstained with Hoechst stain (blue).

3 / 3
Anti-CBX4 antibody used in Western Blot (WB). GTX24189
Anti-CBX4 antibody used in Western Blot (WB). GTX24189
Anti-CBX4 antibody used in Immunocytochemistry/ Immunofluorescence (ICC/IF). GTX24189
  • Host
    Rabbit
  • Clonality
    Polyclonal
  • Isotype
    IgG
  • Applications
    WB ICC/IF IP ELISA
  • Reactivity
    Human
See all CBX4 products