CBX7 antibody

Cat. No. GTX05181
Cat. No.  GTX05181
Anti-CBX7 antibody used in Immunocytochemistry/ Immunofluorescence (ICC/IF). GTX05181
GTX05181 ICC/IF Image

ICC/IF analysis of PFA-fixed HeLa cells using GTX05181 CBX7 antibody.
Red : Primary antibody
Green : beta tubulin
Blue : DAPI
Dilution : 1:200
Permeabilization : 0.1% Triton X-100

1 / 6
Anti-CBX7 antibody used in IHC (Paraffin sections) (IHC-P). GTX05181
GTX05181 IHC-P Image

IHC-P analysis of mouse testis tissue using GTX05181 CBX7 antibody.
Antigen retrieval : Heat mediated antigen retrieval performed with Citrate Buffer.
Dilution : 1:100

2 / 6
Anti-CBX7 antibody used in IHC (Paraffin sections) (IHC-P). GTX05181
GTX05181 IHC-P Image

IHC-P analysis of mouse brain tissue using GTX05181 CBX7 antibody.
Antigen retrieval : Heat mediated antigen retrieval performed with Citrate Buffer.
Dilution : 1:100

3 / 6
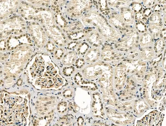
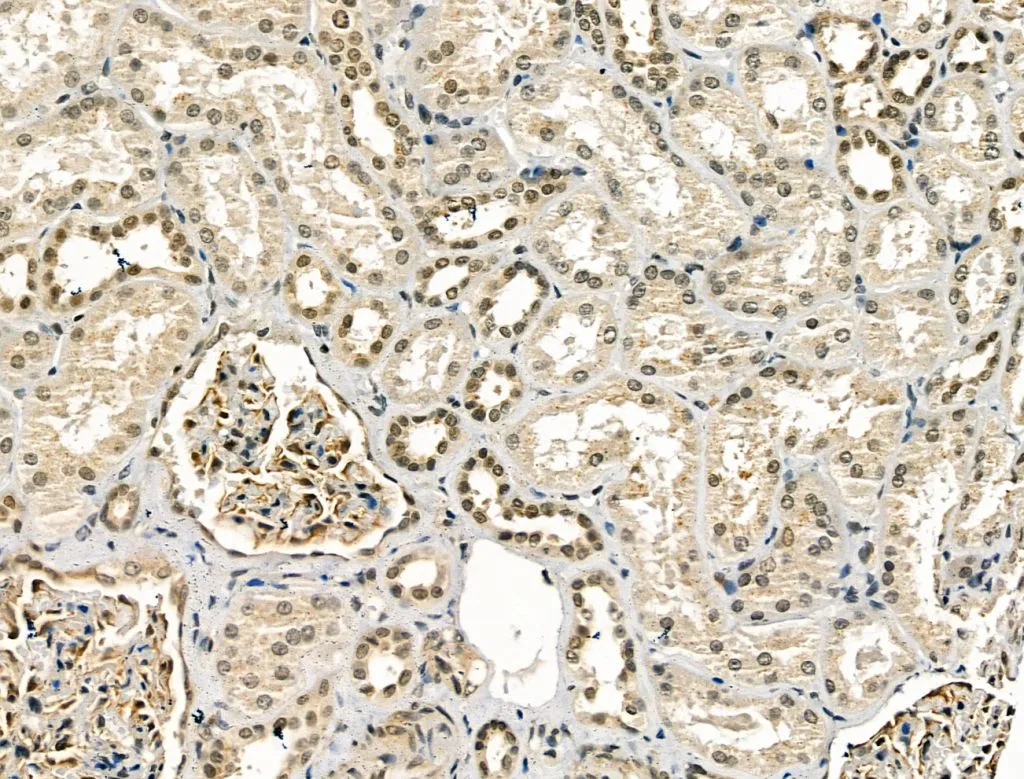
Anti-CBX7 antibody used in IHC (Paraffin sections) (IHC-P). GTX05181
GTX05181 IHC-P Image

IHC-P analysis of human kidney cancer and adjacent normal tissues using GTX05181 CBX7 antibody.
Antigen retrieval : Heat mediated antigen retrieval performed with Citrate Buffer.
Dilution : 1:100

4 / 6
Anti-CBX7 antibody used in Western Blot (WB). GTX05181
GTX05181 WB Image

WB analysis of HeLa whole cell lysate using GTX05181 CBX7 antibody. The lane on the left was treated with blocking peptide.

5 / 6
Anti-CBX7 antibody used in IHC (Paraffin sections) (IHC-P). GTX05181
GTX05181 IHC-P Image

IHC-P analysis of rat testis tissue using GTX05181 CBX7 antibody.
Antigen retrieval : Heat mediated antigen retrieval performed with Citrate Buffer.
Dilution : 1:100

6 / 6
Anti-CBX7 antibody used in Immunocytochemistry/ Immunofluorescence (ICC/IF). GTX05181
Anti-CBX7 antibody used in IHC (Paraffin sections) (IHC-P). GTX05181
Anti-CBX7 antibody used in IHC (Paraffin sections) (IHC-P). GTX05181
Anti-CBX7 antibody used in IHC (Paraffin sections) (IHC-P). GTX05181
Anti-CBX7 antibody used in Western Blot (WB). GTX05181
Anti-CBX7 antibody used in IHC (Paraffin sections) (IHC-P). GTX05181
  • Host
    Rabbit
  • Clonality
    Polyclonal
  • Isotype
    IgG
  • Applications
    WB ICC/IF IHC-P
  • Reactivity
    Human, Mouse, Rat
See all CBX7 products