CCDC44 antibody

Cat. No. GTX66382
Cat. No.  GTX66382
Anti-CCDC44 antibody used in Western Blot (WB). GTX66382
GTX66382 WB Image

WB analysis of various sample lysates using GTX66382 CCDC44 antibody.
Dilution : 1:1000
Loading : 25μg per lane

1 / 2
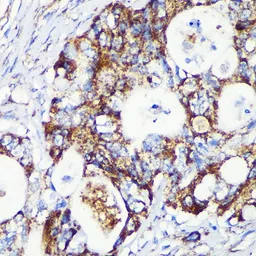
Anti-CCDC44 antibody used in IHC (Paraffin sections) (IHC-P). GTX66382
GTX66382 IHC-P Image

IHC-P analysis of human colon carcinoma tissue using GTX66382 CCDC44 antibody.
Dilution : 1:100

2 / 2
Anti-CCDC44 antibody used in Western Blot (WB). GTX66382
Anti-CCDC44 antibody used in IHC (Paraffin sections) (IHC-P). GTX66382
  • Host
    Rabbit
  • Clonality
    Polyclonal
  • Isotype
    IgG
  • Applications
    WB IHC-P
  • Reactivity
    Human, Mouse, Rat
See all CCDC44 products