CCL28 antibody [N3C3]

Cat. No. GTX108432
Cat. No.  GTX108432
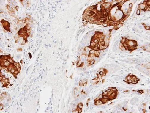
Anti-CCL28 antibody [N3C3] used in IHC (Paraffin sections) (IHC-P). GTX108432
GTX108432 IHC-P Image

Immunohistochemical analysis of paraffin-embedded Cal27 xenograft, using CCL28(GTX108432) antibody at 1:100 dilution.
Antigen Retrieval: Trilogy™ (EDTA based, pH 8.0) buffer, 15min

1 / 2
Anti-CCL28 antibody [N3C3] used in Western Blot (WB). GTX108432
GTX108432 WB Image

Whole cell extract (30 μg) was separated by 15% SDS-PAGE, and the membrane was blotted with CCL28 antibody [N3C3] (GTX108432) diluted at 1:1000.

2 / 2
Anti-CCL28 antibody [N3C3] used in IHC (Paraffin sections) (IHC-P). GTX108432
Anti-CCL28 antibody [N3C3] used in Western Blot (WB). GTX108432
  • Host
    Rabbit
  • Clonality
    Polyclonal
  • Isotype
    IgG
  • Applications
    WB IHC-P
  • Reactivity
    Human
See all CCL28 products