CCR4 antibody [HL2481]

Cat. No. GTX638830
Cat. No.  GTX638830
Anti-CCR4 antibody [HL2481] used in Immunocytochemistry/ Immunofluorescence (ICC/IF). GTX638830
GTX638830 ICC/IF Image

CCR4 antibody [HL2481] detects CCR4 protein by immunofluorescent analysis.
Sample: SW480 cells were fixed in ice-cold MeOH for 5 min.
Green: CCR4 stained by CCR4 antibody [HL2481] (GTX638830) diluted at 1:200.
Blue: Fluoroshield with DAPI (GTX30920).

1 / 12
Anti-CCR4 antibody [HL2481] used in Western Blot (WB). GTX638830
GTX638830 WB Image

Non-transfected (–) and transfected (+) boiled and unboiled 293T whole cell extracts (30 μg) were separated by 10% SDS-PAGE, and the membranes were blotted with CCR4 antibody [HL2481] (GTX638830) diluted at 1:1000 and the highly cited competitor's diluted at 1:1000. The HRP-conjugated anti-rabbit IgG antibody (GTX213110-01) was used to detect the primary antibody.

*The competitor is not affiliated with GeneTex and does not endorse this product.

2 / 12
Anti-CCR4 antibody [HL2481] used in Flow cytometry (FCM). GTX638830
GTX638830 FCM Image

CCR4 antibody [HL2481] (GTX638830) detects CCR4 protein by flow cytometry analysis.
Sample: Non-transfected and transfected 293T cells were fixed in 4% paraformaldehyde at 4ºC for 15 min and washed with 0.1% saponin buffer.
The cells were following stained with CCR4 antibody [HL2850] (GTX640121) diluted at 1:50 or a Rabbit IgG isotype control (GTX35035) control at 4ºC for 1 hour.

3 / 12
Anti-CCR4 antibody [HL2481] used in Western Blot (WB). GTX638830
GTX638830 WB Image

Unboiled non-transfected (–) and transfected (+) 293T whole cell extracts (30 μg) were separated by 10% SDS-PAGE, and the membrane was blotted with CCR4 antibody [HL2481] (GTX638830) diluted at 1:5000. The HRP-conjugated anti-rabbit IgG antibody (GTX213110-01) was used to detect the primary antibody.

4 / 12
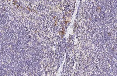
Anti-CCR4 antibody [HL2481] used in IHC (Paraffin sections) (IHC-P). GTX638830
GTX638830 IHC-P Image

CCR4 antibody [HL2481] detects CCR4 protein by immunohistochemical analysis.
Sample: Paraffin-embedded mouse thymus gland.
CCR4 stained by CCR4 antibody [HL2481] (GTX638830) diluted at 1:500.
Antigen Retrieval: Citrate buffer, pH 6.0, 15 min

5 / 12
Anti-CCR4 antibody [HL2481] used in IHC (Paraffin sections) (IHC-P). GTX638830
GTX638830 IHC-P Image

CCR4 antibody [HL2481] detects CCR4 protein by immunohistochemical analysis.
Sample: Paraffin-embedded human tonsil.
CCR4 stained by CCR4 antibody [HL2481] (GTX638830) diluted at 1:500.
Antigen Retrieval: Citrate buffer, pH 6.0, 15 min

6 / 12
Anti-CCR4 antibody [HL2481] used in Western Blot (WB). GTX638830
GTX638830 WB Image

Non-transfected (–) and transfected (+) bolied and unboiled 293T whole cell extracts (30 μg) were separated by 10% SDS-PAGE, and the membrane was blotted with CCR4 antibody [HL2481] (GTX638830) diluted at 1:1000. The HRP-conjugated anti-rabbit IgG antibody (GTX213110-01) was used to detect the primary antibody.

7 / 12
Anti-CCR4 antibody [HL2481] used in Western Blot (WB). GTX638830
GTX638830 WB Image

Non-transfected (–) and transfected (+) boiled and unboiled SW480 whole cell extracts (30 μg) were separated by 10% SDS-PAGE, and the membrane was blotted with CCR4 antibody [HL2481] (GTX638830) diluted at 1:1000. The HRP-conjugated anti-rabbit IgG antibody (GTX213110-01) was used to detect the primary antibody.

8 / 12
Anti-CCR4 antibody [HL2481] used in IHC (Paraffin sections) (IHC-P). GTX638830
GTX638830 IHC-P Image

CCR4 antibody [HL2481] detects CCR4 protein at cell membrane by immunohistochemical analysis.
Sample: Paraffin-embedded rat thymus gland.
CCR4 stained by CCR4 antibody [HL2481] (GTX638830) diluted at 1:100.
Antigen Retrieval: Citrate buffer, pH 6.0, 15 min

9 / 12
Anti-CCR4 antibody [HL2481] used in IHC (Paraffin sections) (IHC-P). GTX638830
GTX638830 IHC-P Image

CCR4 antibody [HL2481] detects CCR4 protein at cell membrane by immunohistochemical analysis.
Sample: Paraffin-embedded mouse thymus gland.
CCR4 stained by CCR4 antibody [HL2481] (GTX638830) diluted at 1:100.
Antigen Retrieval: Citrate buffer, pH 6.0, 15 min

10 / 12
Anti-CCR4 antibody [HL2481] used in Western Blot (WB). GTX638830
GTX638830 WB Image

Unboiled SW480 whole cell and membrane extracts (30 μg) were separated by 7.5% SDS-PAGE, and the membrane was blotted with CCR4 antibody [HL2481] (GTX638830) diluted at 1:500. The HRP-conjugated anti-rabbit IgG antibody (GTX213110-01) was used to detect the primary antibody, and the signal was developed with Trident ECL plus-Enhanced. (WCE: whole cell extract; ME: membrane extract)

11 / 12
Anti-CCR4 antibody [HL2481] used in Western Blot (WB). GTX638830
GTX638830 WB Image

Mouse tissue extract (50 μg) was separated by 7.5% SDS-PAGE, and the membrane was blotted with CCR4 antibody [HL2481] (GTX638830) diluted at 1:1000. The HRP-conjugated anti-rabbit IgG antibody (GTX213110-01) was used to detect the primary antibody.

12 / 12
Anti-CCR4 antibody [HL2481] used in Immunocytochemistry/ Immunofluorescence (ICC/IF). GTX638830
Anti-CCR4 antibody [HL2481] used in Western Blot (WB). GTX638830
Anti-CCR4 antibody [HL2481] used in Flow cytometry (FCM). GTX638830
Anti-CCR4 antibody [HL2481] used in Western Blot (WB). GTX638830
Anti-CCR4 antibody [HL2481] used in IHC (Paraffin sections) (IHC-P). GTX638830
Anti-CCR4 antibody [HL2481] used in IHC (Paraffin sections) (IHC-P). GTX638830
Anti-CCR4 antibody [HL2481] used in Western Blot (WB). GTX638830
Anti-CCR4 antibody [HL2481] used in Western Blot (WB). GTX638830
Anti-CCR4 antibody [HL2481] used in IHC (Paraffin sections) (IHC-P). GTX638830
Anti-CCR4 antibody [HL2481] used in IHC (Paraffin sections) (IHC-P). GTX638830
Anti-CCR4 antibody [HL2481] used in Western Blot (WB). GTX638830
Anti-CCR4 antibody [HL2481] used in Western Blot (WB). GTX638830
  • Host
    Rabbit
  • Clonality
    Monoclonal
  • Clone Name
    HL2481
  • Isotype
    IgG
  • Applications
    WB ICC/IF IHC-P FCM
  • Reactivity
    Human, Mouse, Rat
See all CCR4 products