CD10 antibody [2A1H5E1]

Cat. No. GTX83393
Cat. No.  GTX83393
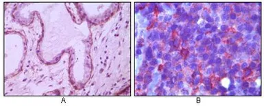
Anti-CD10 antibody [2A1H5E1] used in IHC (Paraffin sections) (IHC-P). GTX83393
GTX83393 IHC-P Image

IHC-P analysis of human breast ductal myoepithelium (A) and lymph tissue (B using GTX83393 CD10 antibody [2A1H5E1].

1 / 1
Anti-CD10 antibody [2A1H5E1] used in IHC (Paraffin sections) (IHC-P). GTX83393
  • Host
    Mouse
  • Clonality
    Monoclonal
  • Clone Name
    2A1H5E1
  • Isotype
    IgG2b
  • Applications
    IHC-P ELISA
  • Reactivity
    Human
See all CD10 products