CD11a antibody, Internal

Cat. No. GTX88390
Cat. No.  GTX88390
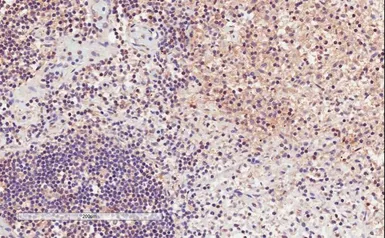
Anti-CD11a antibody, Internal used in IHC (Paraffin sections) (IHC-P). GTX88390
GTX88390 IHC-P Image

IHC-P analysis of human spleen using GTX88390 CD11a antibody, Internal.
Antigen retrieval : citrate buffer pH 6
Dilution : 3.75μg/ml

1 / 3
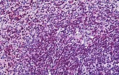
Anti-CD11a antibody, Internal used in IHC (Paraffin sections) (IHC-P). GTX88390
GTX88390 IHC-P Image

IHC-P analysis of human lymph node using GTX88390 CD11a antibody, Internal.
Antigen retrieval : citrate buffer pH 6
Dilution : 2μg/ml

2 / 3
Anti-CD11a antibody, Internal used in Western Blot (WB). GTX88390
GTX88390 WB Image

WB analysis of human spleen lysate using GTX88390 CD11a antibody, Internal.
Dilution : 0.5μg/ml
Loading : 35μg protein in RIPA buffer

3 / 3
Anti-CD11a antibody, Internal used in IHC (Paraffin sections) (IHC-P). GTX88390
Anti-CD11a antibody, Internal used in IHC (Paraffin sections) (IHC-P). GTX88390
Anti-CD11a antibody, Internal used in Western Blot (WB). GTX88390
  • Host
    Goat
  • Clonality
    Polyclonal
  • Isotype
    IgG
  • Applications
    WB IHC-P
  • Reactivity
    Human
See all CD11a products