CD130 antibody

Cat. No. GTX109048
Cat. No.  GTX109048
Anti-CD130 antibody used in Western Blot (WB). GTX109048
GTX109048 WB Image

Various whole cell extracts (30 μg) were separated by 5% SDS-PAGE, and the membrane was blotted with CD130 antibody (GTX109048) diluted at 1:1000. The HRP-conjugated anti-rabbit IgG antibody (GTX213110-01) was used to detect the primary antibody.

1 / 3
Anti-CD130 antibody used in IHC (Paraffin sections) (IHC-P). GTX109048
GTX109048 IHC-P Image

Immunohistochemical analysis of paraffin-embedded J5 xenograft, using CD130(GTX109048) antibody at 1:500 dilution.
Antigen Retrieval: Trilogy™ (EDTA based, pH 8.0) buffer, 15min

2 / 3
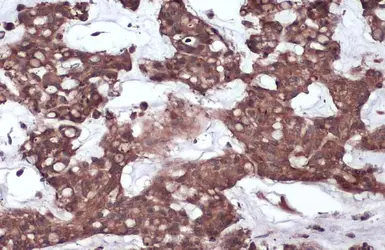
Anti-CD130 antibody used in IHC (Paraffin sections) (IHC-P). GTX109048
GTX109048 IHC-P Image

CD130 antibody detects CD130 protein at cytoplasm by immunohistochemical analysis.
Sample: Paraffin-embedded human breast carcinoma.
CD130 stained by CD130 antibody (GTX109048) diluted at 1:7500.
Antigen Retrieval: Citrate buffer, pH 6.0, 15 min

3 / 3
Anti-CD130 antibody used in Western Blot (WB). GTX109048
Anti-CD130 antibody used in IHC (Paraffin sections) (IHC-P). GTX109048
Anti-CD130 antibody used in IHC (Paraffin sections) (IHC-P). GTX109048
  • Host
    Rabbit
  • Clonality
    Polyclonal
  • Isotype
    IgG
  • Applications
    WB ICC/IF IHC-P
  • Reactivity
    Human, Rat
See all CD130 products