CD14 antibody [5A3]

Cat. No. GTX83395
Cat. No.  GTX83395
Anti-CD14 antibody [5A3] used in Flow cytometry (FCM). GTX83395
GTX83395 FCM Image

FACS analysis of human PBMC using GTX83395 CD14 antibody [5A3].

1 / 2
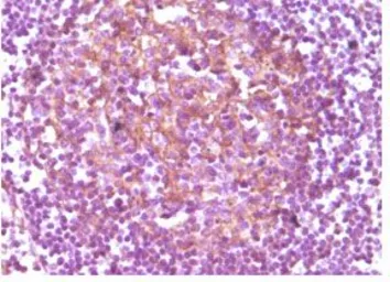
Anti-CD14 antibody [5A3] used in IHC (Paraffin sections) (IHC-P). GTX83395
GTX83395 IHC-P Image

IHC-P analysis of human lymphnode using GTX83395 CD14 antibody [5A3].

2 / 2
Anti-CD14 antibody [5A3] used in Flow cytometry (FCM). GTX83395
Anti-CD14 antibody [5A3] used in IHC (Paraffin sections) (IHC-P). GTX83395
  • Host
    Mouse
  • Clonality
    Monoclonal
  • Clone Name
    5A3
  • Isotype
    IgG1
  • Applications
    IHC-P FCM ELISA
  • Reactivity
    Human
See all CD14 products