CD146 antibody [6C3E6]

Cat. No. GTX60775
Cat. No.  GTX60775
Anti-CD146 antibody [6C3E6] used in ELISA (ELISA). GTX60775
GTX60775 ELISA Image

ELISA analysis of antigen using GTX60775 CD146 antibody [6C3E6].
Black : Control antigen 100ng
Purple : Antigen 10ng
Blue : Antigen 50ng
Red : Antigen 100ng

1 / 6
Anti-CD146 antibody [6C3E6] used in Western Blot (WB). GTX60775
GTX60775 WB Image

WB analysis of HUVE-12 (1), EVC-304 (2), HeLa (3) and MCF-7 (4) cell lysate using GTX60775 CD146 antibody [6C3E6].

2 / 6
Anti-CD146 antibody [6C3E6] used in IHC (Paraffin sections) (IHC-P). GTX60775
GTX60775 IHC-P Image

IHC-P analysis of esophageal cancer tissue using GTX60775 CD146 antibody [6C3E6].

3 / 6
Anti-CD146 antibody [6C3E6] used in Flow cytometry (FCM). GTX60775
GTX60775 FCM Image

FACS analysis of MCF-7 cells using GTX60775 CD146 antibody [6C3E6].
Green : CD146
Red : negative control

4 / 6
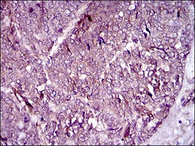
Anti-CD146 antibody [6C3E6] used in IHC (Paraffin sections) (IHC-P). GTX60775
GTX60775 IHC-P Image

IHC-P analysis of liver cancer tissue using GTX60775 CD146 antibody [6C3E6].

5 / 6
Anti-CD146 antibody [6C3E6] used in Western Blot (WB). GTX60775
GTX60775 WB Image

WB analysis of HEK293 (1) and CD146 (AA: 84-189)-hIgGFc transfected HEK293 (2) cell lysate using GTX60775 CD146 antibody [6C3E6].

6 / 6
Anti-CD146 antibody [6C3E6] used in ELISA (ELISA). GTX60775
Anti-CD146 antibody [6C3E6] used in Western Blot (WB). GTX60775
Anti-CD146 antibody [6C3E6] used in IHC (Paraffin sections) (IHC-P). GTX60775
Anti-CD146 antibody [6C3E6] used in Flow cytometry (FCM). GTX60775
Anti-CD146 antibody [6C3E6] used in IHC (Paraffin sections) (IHC-P). GTX60775
Anti-CD146 antibody [6C3E6] used in Western Blot (WB). GTX60775
  • Host
    Mouse
  • Clonality
    Monoclonal
  • Clone Name
    6C3E6
  • Isotype
    IgG1
  • Applications
    WB IHC-P FCM ELISA
  • Reactivity
    Human
See all CD146 products