CD146 antibody [C1C3]

Cat. No. GTX108777
Cat. No.  GTX108777
Anti-CD146 antibody [C1C3] used in Western Blot (WB). GTX108777
GTX108777 WB Image

Wild-type (WT) and CD146 knockout (KO) HeLa cell extracts (30 μg) were separated by 5% SDS-PAGE, and the membrane was blotted with CD146 antibody [C1C3] (GTX108777) diluted at 1:1000. The HRP-conjugated anti-rabbit IgG antibody (GTX213110-01) was used to detect the primary antibody.

1 / 10
Anti-CD146 antibody [C1C3] used in IHC (Paraffin sections) (IHC-P). GTX108777
GTX108777 IHC-P Image

CD146 antibody [C1C3] detects CD146 protein at membrane on mouse colon by immunohistochemical analysis.
Sample: Paraffin-embedded mouse colon.
CD146 antibody [C1C3] (GTX108777) dilution: 1:500.

Antigen Retrieval: Trilogy™ (EDTA based, pH 8.0) buffer, 15min

2 / 10
Anti-CD146 antibody [C1C3] used in IHC (Paraffin sections) (IHC-P). GTX108777
GTX108777 IHC-P Image

CD146 antibody [C1C3] detects CD146 protein at membrane on mouse skin by immunohistochemical analysis.
Sample: Paraffin-embedded mouse skin.
CD146 antibody [C1C3] (GTX108777) dilution: 1:500.

Antigen Retrieval: Trilogy™ (EDTA based, pH 8.0) buffer, 15min

3 / 10
Anti-CD146 antibody [C1C3] used in Western Blot (WB). GTX108777
GTX108777 WB Image

CD146 antibody [C1C3] detects CD146 protein by western blot analysis.
A. 50 μg rat liver extract
7.5 % SDS-PAGE
CD146 antibody [C1C3] (GTX108777) dilution: 1:1000

4 / 10
Anti-CD146 antibody [C1C3] used in Immunocytochemistry/ Immunofluorescence (ICC/IF). GTX108777
GTX108777 ICC/IF Image

CD146 antibody [C1C3] detects CD146 protein at cell membrane and cytoplasm by immunofluorescent analysis.
Sample: HUVEC cells were fixed in 4% paraformaldehyde at RT for 15 min.
Green: CD146 protein stained by CD146 antibody [C1C3] (GTX108777) diluted at 1:500.
Blue: Hoechst 33342 staining.

5 / 10
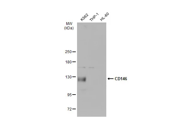
Anti-CD146 antibody [C1C3] used in Western Blot (WB). GTX108777
GTX108777 WB Image

Various whole cell extracts (30 μg) were separated by 5% SDS-PAGE, and the membrane was blotted with CD146 antibody [C1C3] (GTX108777) diluted at 1:1000. The HRP-conjugated anti-rabbit IgG antibody (GTX213110-01) was used to detect the primary antibody.

6 / 10
Anti-CD146 antibody [C1C3] used in Western Blot (WB). GTX108777
GTX108777 WB Image

CD146 antibody [C1C3] detects CD146 protein by Western blot analysis.
A. 30 μg HUVEC whole cell lysate/extract
7.5 % SDS-PAGE
CD146 antibody [C1C3] (GTX108777) dilution: 1:10000

7 / 10
Anti-CD146 antibody [C1C3] used in IHC (Paraffin sections) (IHC-P). GTX108777
GTX108777 IHC-P Image

CD146 antibody [C1C3] detects CD146 protein at cell membrane by immunohistochemical analysis.
Sample: Paraffin-embedded mouse placenta.
Green: CD146 stained by CD146 antibody [C1C3] (GTX108777) diluted at 1:250.
Red: alpha Tubulin, a cytoskeleton marker, stained by alpha Tubulin antibody [GT114] (GTX628802) diluted at 1:1000.
Blue: Fluoroshield with DAPI (GTX30920).
Antigen Retrieval: Citrate buffer, pH 6.0, 15 min

8 / 10
Anti-CD146 antibody [C1C3] used in IHC (Paraffin sections) (IHC-P). GTX108777
GTX108777 IHC-P Image

Immunohistochemical analysis of paraffin-embedded J5 xenograft, using CD146(GTX108777) antibody at 1:500 dilution.
Antigen Retrieval: Trilogy™ (EDTA based, pH 8.0) buffer, 15min

9 / 10
Anti-CD146 antibody [C1C3] used in Western Blot (WB). GTX108777
GTX108777 WB Image

The data was published in the journal Stem Cells Transl Med in 2020.PMID: 31943851

10 / 10
Anti-CD146 antibody [C1C3] used in Western Blot (WB). GTX108777
Anti-CD146 antibody [C1C3] used in IHC (Paraffin sections) (IHC-P). GTX108777
Anti-CD146 antibody [C1C3] used in IHC (Paraffin sections) (IHC-P). GTX108777
Anti-CD146 antibody [C1C3] used in Western Blot (WB). GTX108777
Anti-CD146 antibody [C1C3] used in Immunocytochemistry/ Immunofluorescence (ICC/IF). GTX108777
Anti-CD146 antibody [C1C3] used in Western Blot (WB). GTX108777
Anti-CD146 antibody [C1C3] used in Western Blot (WB). GTX108777
Anti-CD146 antibody [C1C3] used in IHC (Paraffin sections) (IHC-P). GTX108777
Anti-CD146 antibody [C1C3] used in IHC (Paraffin sections) (IHC-P). GTX108777
Anti-CD146 antibody [C1C3] used in Western Blot (WB). GTX108777
  • Host
    Rabbit
  • Clonality
    Polyclonal
  • Isotype
    IgG
  • Applications
    WB ICC/IF IHC-P
  • Reactivity
    Human, Mouse, Rat
See all CD146 products