CD147 antibody [4E4]

Cat. No. GTX84798
Cat. No.  GTX84798
Anti-CD147 antibody [4E4] used in IHC (Paraffin sections) (IHC-P). GTX84798
GTX84798 IHC-P Image

IHC-P analysis of human liver tissue using GTX84798 CD147 antibody [4E4].
Antigen retrieval : Heat-induced epitope retrieval by 10mM citrate buffer, pH6.0, 100ºC for 10min.

1 / 11
Anti-CD147 antibody [4E4] used in Immunocytochemistry/ Immunofluorescence (ICC/IF). GTX84798
GTX84798 ICC/IF Image

ICC/IF analysis of COS7 cells transiently transfected with CD147 plasmid using GTX84798 CD147 antibody [4E4].

2 / 11
Anti-CD147 antibody [4E4] used in IHC (Paraffin sections) (IHC-P). GTX84798
GTX84798 IHC-P Image

IHC-P analysis of human pancreas tissue using GTX84798 CD147 antibody [4E4].
Antigen retrieval : Heat-induced epitope retrieval by 10mM citrate buffer, pH6.0, 100ºC for 10min.

3 / 11
Anti-CD147 antibody [4E4] used in Western Blot (WB). GTX84798
GTX84798 WB Image

WB analysis of HeLa cell lysate using GTX84798 CD147 antibody [4E4].
Loading : 10 ug per lane
Dilution : 1:200

4 / 11
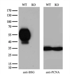
Anti-CD147 antibody [4E4] used in Western Blot (WB). GTX84798
GTX84798 WB Image

WB analysis of wild type and CD147 knock out 293T cell lysate(10μg per lane) using GTX84798 CD147 antibody [4E4].
Dilution : 1:2000

5 / 11
Anti-CD147 antibody [4E4] used in IHC (Paraffin sections) (IHC-P). GTX84798
GTX84798 IHC-P Image

IHC-P analysis of human lung tissue using GTX84798 CD147 antibody [4E4].
Antigen retrieval : Heat-induced epitope retrieval by 10mM citrate buffer, pH6.0, 100ºC for 10min.

6 / 11
Anti-CD147 antibody [4E4] used in Western Blot (WB). GTX84798
GTX84798 WB Image

WB analysis of HEK293T cells transfected with CD147 plasmid (Right) or empty vector (Left) for 48 hrs using GTX84798 CD147 antibody [4E4].
Loading : 5 ug per lane

7 / 11
Anti-CD147 antibody [4E4] used in IHC (Paraffin sections) (IHC-P). GTX84798
GTX84798 IHC-P Image

IHC-P analysis of human prostate carcinoma tissue using GTX84798 CD147 antibody [4E4].
Antigen retrieval : Heat-induced epitope retrieval by 10mM citrate buffer, pH6.0, 100ºC for 10min.

8 / 11
Anti-CD147 antibody [4E4] used in IHC (Paraffin sections) (IHC-P). GTX84798
GTX84798 IHC-P Image

IHC-P analysis of human colon tissue using GTX84798 CD147 antibody [4E4].
Antigen retrieval : Heat-induced epitope retrieval by 10mM citrate buffer, pH6.0, 100ºC for 10min.

9 / 11
Anti-CD147 antibody [4E4] used in IHC (Paraffin sections) (IHC-P). GTX84798
GTX84798 IHC-P Image

IHC-P analysis of human prostate tissue using GTX84798 CD147 antibody [4E4].
Antigen retrieval : Heat-induced epitope retrieval by 10mM citrate buffer, pH6.0, 100ºC for 10min.

10 / 11
Anti-CD147 antibody [4E4] used in Flow cytometry (FCM). GTX84798
GTX84798 FCM Image

FACS analysis of Jurkat cells using GTX84798 CD147 antibody [4E4].
Red : Primary antibody
Blue : Negative control antibody

11 / 11
Anti-CD147 antibody [4E4] used in IHC (Paraffin sections) (IHC-P). GTX84798
Anti-CD147 antibody [4E4] used in Immunocytochemistry/ Immunofluorescence (ICC/IF). GTX84798
Anti-CD147 antibody [4E4] used in IHC (Paraffin sections) (IHC-P). GTX84798
Anti-CD147 antibody [4E4] used in Western Blot (WB). GTX84798
Anti-CD147 antibody [4E4] used in Western Blot (WB). GTX84798
Anti-CD147 antibody [4E4] used in IHC (Paraffin sections) (IHC-P). GTX84798
Anti-CD147 antibody [4E4] used in Western Blot (WB). GTX84798
Anti-CD147 antibody [4E4] used in IHC (Paraffin sections) (IHC-P). GTX84798
Anti-CD147 antibody [4E4] used in IHC (Paraffin sections) (IHC-P). GTX84798
Anti-CD147 antibody [4E4] used in IHC (Paraffin sections) (IHC-P). GTX84798
Anti-CD147 antibody [4E4] used in Flow cytometry (FCM). GTX84798
  • Host
    Mouse
  • Clonality
    Monoclonal
  • Clone Name
    4E4
  • Isotype
    IgG2b
  • Applications
    WB ICC/IF IHC-P FCM
  • Reactivity
    Human
See all CD147 products