CD147 antibody [8D6]

Cat. No. GTX34462
Cat. No.  GTX34462
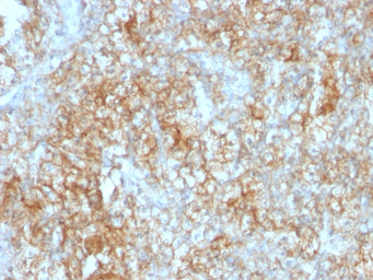
Anti-CD147 antibody [8D6] used in IHC (Paraffin sections) (IHC-P). GTX34462
GTX34462 IHC-P Image

IHC-P analysis of human renal cell carcinoma tissue using GTX34462 CD147 antibody [8D6].

1 / 1
Anti-CD147 antibody [8D6] used in IHC (Paraffin sections) (IHC-P). GTX34462
  • Host
    Mouse
  • Clonality
    Monoclonal
  • Clone Name
    8D6
  • Isotype
    IgG1
  • Applications
    ICC/IF IHC-P FCM Neutralizing /Inhibition
  • Reactivity
    Human
See all CD147 products