CD147 antibody [9H5]

Cat. No. GTX84801
Cat. No.  GTX84801
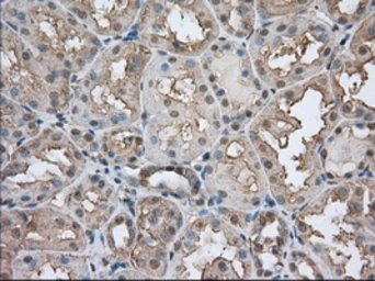
Anti-CD147 antibody [9H5] used in IHC (Paraffin sections) (IHC-P). GTX84801
GTX84801 IHC-P Image

IHC-P analysis of human kidney tissue using GTX84801 CD147 antibody [9H5].
Antigen retrieval : Heat-induced epitope retrieval by 10mM citrate buffer, pH6.0, 100ºC for 10min.
Dilution : 1:50

1 / 9
Anti-CD147 antibody [9H5] used in Western Blot (WB). GTX84801
GTX84801 WB Image

WB analysis of various cell lines using GTX84801 CD147 antibody [9H5].
Loading : 35 ug per lane

2 / 9
Anti-CD147 antibody [9H5] used in Immunocytochemistry/ Immunofluorescence (ICC/IF). GTX84801
GTX84801 ICC/IF Image

ICC/IF analysis of HT29 cells using GTX84801 CD147 antibody [9H5].

3 / 9
Anti-CD147 antibody [9H5] used in Western Blot (WB). GTX84801
GTX84801 WB Image

WB analysis of human tissues (Lane 1-Testis ; Lane 2-Omentum ; Lane 3-Uterus ; Lane 4-Breast ; Lane 5-Brain ; Lane 6-Liver ; Lane 7-Ovary ; Lane 8-Thyroid gland ; Lane 9-colon ; Lane 10-spleen) using GTX84801 CD147 antibody [9H5].
Loading : 10 ug per lane
Dilution : 1:500

4 / 9
Anti-CD147 antibody [9H5] used in IHC (Paraffin sections) (IHC-P). GTX84801
GTX84801 IHC-P Image

IHC-P analysis of human prostate tissue using GTX84801 CD147 antibody [9H5].
Antigen retrieval : Heat-induced epitope retrieval by 10mM citrate buffer, pH6.0, 100ºC for 10min.
Dilution : 1:50

5 / 9
Anti-CD147 antibody [9H5] used in Western Blot (WB). GTX84801
GTX84801 WB Image

WB analysis of wild type and CD147 knock out 293T cell lysate(10μg per lane) using GTX84801 CD147 antibody [9H5].
Dilution : 1:2000

6 / 9
Anti-CD147 antibody [9H5] used in Flow cytometry (FCM). GTX84801
GTX84801 FCM Image

FACS analysis of HEK293T cells transfected with either CD147 plasmid(Red) or empty vector control plasmid(Blue) using GTX84801 CD147 antibody [9H5].

7 / 9
Anti-CD147 antibody [9H5] used in Immunocytochemistry/ Immunofluorescence (ICC/IF). GTX84801
GTX84801 ICC/IF Image

ICC/IF analysis of COS7 cells transiently transfected with CD147 plasmid using GTX84801 CD147 antibody [9H5].

8 / 9
Anti-CD147 antibody [9H5] used in Western Blot (WB). GTX84801
GTX84801 WB Image

WB analysis of HEK293T cells transfected with CD147 plasmid (Right) or empty vector (Left) for 48 hrs using GTX84801 CD147 antibody [9H5].
Loading : 5 ug per lane

9 / 9
Anti-CD147 antibody [9H5] used in IHC (Paraffin sections) (IHC-P). GTX84801
Anti-CD147 antibody [9H5] used in Western Blot (WB). GTX84801
Anti-CD147 antibody [9H5] used in Immunocytochemistry/ Immunofluorescence (ICC/IF). GTX84801
Anti-CD147 antibody [9H5] used in Western Blot (WB). GTX84801
Anti-CD147 antibody [9H5] used in IHC (Paraffin sections) (IHC-P). GTX84801
Anti-CD147 antibody [9H5] used in Western Blot (WB). GTX84801
Anti-CD147 antibody [9H5] used in Flow cytometry (FCM). GTX84801
Anti-CD147 antibody [9H5] used in Immunocytochemistry/ Immunofluorescence (ICC/IF). GTX84801
Anti-CD147 antibody [9H5] used in Western Blot (WB). GTX84801
  • Host
    Mouse
  • Clonality
    Monoclonal
  • Clone Name
    9H5
  • Isotype
    IgG2b
  • Applications
    WB ICC/IF IHC-P FCM
  • Reactivity
    Human, Mouse, Rat, Dog, Monkey
See all CD147 products