CD163 antibody [EDHu-1]

Cat. No. GTX42364
Cat. No.  GTX42364
Anti-CD163 antibody [EDHu-1] used in IHC (Frozen sections) (IHC-Fr). GTX42364
GTX42364 IHC-Fr Image

IHC-Fr staining of a human tonsil with Mouse anti Human CD163 antibody, clone EDHu-1 (GTX42364), red in A and Mouse anti Human CD21 antibody, clone LB21 (GTX74728), green in B. C is the merged image with nuclei counterstained blue using DAPI. Medium power

1 / 6
Anti-CD163 antibody [EDHu-1] used in IHC (Frozen sections) (IHC-Fr). GTX42364
GTX42364 IHC-Fr Image

IHC-Fr staining of a human tonsil with Mouse anti Human CD163 antibody, clone EDHu-1 (GTX42364), red in A and Mouse anti Human CD21 antibody, clone LB21 (GTX74728), green in B. C is the merged image with nuclei counterstained blue using DAPI. High power

2 / 6
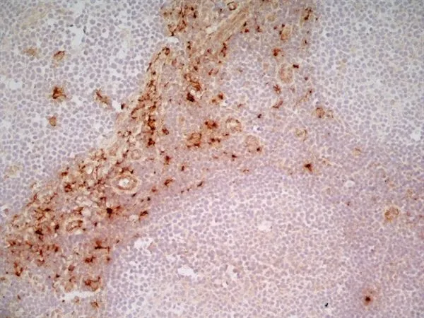
Anti-CD163 antibody [EDHu-1] used in IHC (Frozen sections) (IHC-Fr). GTX42364
GTX42364 IHC-Fr Image

IHC-Fr analysis of human tonsil tissue using GTX42364 CD163 antibody [EDHu-1].

3 / 6
Anti-CD163 antibody [EDHu-1] used in IHC (Frozen sections) (IHC-Fr). GTX42364
GTX42364 IHC-Fr Image

IHC-Fr staining of a human tonsil with Mouse anti Human CD163 antibody, clone EDHu-1 (GTX42364), red in A and Mouse anti Human CD21 antibody, clone LB21 (GTX74728), green in B. C is the merged image with nuclei counterstained blue using DAPI. Low power

4 / 6
Anti-CD163 antibody [EDHu-1] used in IHC (Frozen sections) (IHC-Fr). GTX42364
GTX42364 IHC-Fr Image

IHC-Fr analysis of human tonsil tissue using GTX42364 CD163 antibody [EDHu-1].

5 / 6
Anti-CD163 antibody [EDHu-1] used in IHC (Frozen sections) (IHC-Fr). GTX42364
GTX42364 IHC-Fr Image

IHC-Fr analysis of human tonsil tissue using GTX42364 CD163 antibody [EDHu-1].

6 / 6
Anti-CD163 antibody [EDHu-1] used in IHC (Frozen sections) (IHC-Fr). GTX42364
Anti-CD163 antibody [EDHu-1] used in IHC (Frozen sections) (IHC-Fr). GTX42364
Anti-CD163 antibody [EDHu-1] used in IHC (Frozen sections) (IHC-Fr). GTX42364
Anti-CD163 antibody [EDHu-1] used in IHC (Frozen sections) (IHC-Fr). GTX42364
Anti-CD163 antibody [EDHu-1] used in IHC (Frozen sections) (IHC-Fr). GTX42364
Anti-CD163 antibody [EDHu-1] used in IHC (Frozen sections) (IHC-Fr). GTX42364
  • Host
    Mouse
  • Clonality
    Monoclonal
  • Clone Name
    EDHu-1
  • Isotype
    IgG1
  • Applications
    WB ICC/IF IHC-P IHC-Fr FCM ELISA Immunoassay
  • Reactivity
    Human, Sheep, Bovine, Guinea pig, Pig, Rhesus Monkey
See all CD163 products