CD19 antibody [HL5319]

Cat. No. GTX645784
Cat. No.  GTX645784
Anti-CD19 antibody [HL5319] used in Immunocytochemistry/ Immunofluorescence (ICC/IF). GTX645784
GTX645784 ICC/IF Image

CD19 antibody [HL5319] detects CD19 protein by immunofluorescent analysis.
Sample: Daudi cells were fixed in 4% paraformaldehyde at RT for 15 min.
Green: CD19 stained by CD19 antibody [HL5319] (GTX645784) diluted at 1:100.
Blue: Fluoroshield™ with DAPI (GTX30920).

1 / 2
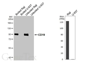
Anti-CD19 antibody [HL5319] used in Western Blot (WB). GTX645784
GTX645784 WB Image

Boiled and unboiled various whole cell extracts (30 μg) were separated by 7.5% SDS-PAGE, and the membrane was blotted with CD19 antibody [HL5319] (GTX645784) diluted at 1:1000. The HRP-conjugated anti-rabbit IgG antibody (GTX213110-01) was used to detect the primary antibody. Corresponding RNA expression data are based on Human Protein Atlas program.

2 / 2
Anti-CD19 antibody [HL5319] used in Immunocytochemistry/ Immunofluorescence (ICC/IF). GTX645784
Anti-CD19 antibody [HL5319] used in Western Blot (WB). GTX645784
  • Host
    Rabbit
  • Clonality
    Monoclonal
  • Clone Name
    HL5319
  • Isotype
    IgG
  • Applications
    WB ICC/IF
  • Reactivity
    Human
See all CD19 products