CD20 antibody

Cat. No. GTX05140
Cat. No.  GTX05140
Anti-CD20 antibody used in Flow cytometry (FCM). GTX05140
GTX05140 FCM Image

FCM analysis of 4% PFA-fixed HEPA1-6 cells using GTX05140 CD20 antibody.
Blue line : Primary antibody
Green line : Isotype control
Red line : Blank
Dilution : 1 μg/1x10⁶ cells

1 / 4
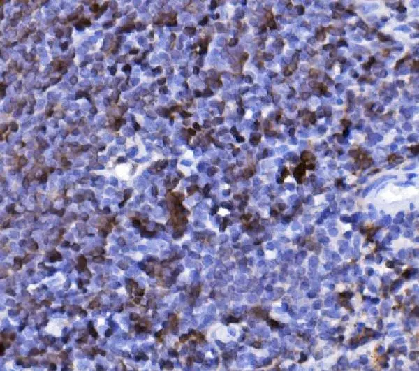
Anti-CD20 antibody used in IHC (Paraffin sections) (IHC-P). GTX05140
GTX05140 IHC-P Image

IHC-P analysis of mouse spleen tissue using GTX05140 CD20 antibody.
Antigen retrieval : Heat mediated antigen retrieval performed with EDTA buffer (pH 8.0)
Dilution : 2 μg/ml

2 / 4
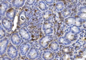
Anti-CD20 antibody used in IHC (Paraffin sections) (IHC-P). GTX05140
GTX05140 IHC-P Image

IHC-P analysis of mouse intestine tissue using GTX05140 CD20 antibody.
Antigen retrieval : Heat mediated antigen retrieval performed with EDTA buffer (pH 8.0)
Dilution : 2 μg/ml

3 / 4
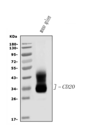
Anti-CD20 antibody used in Western Blot (WB). GTX05140
GTX05140 WB Image

WB analysis of mouse spleen tissue lysate using GTX05140 CD20 antibody.
Loading : 30μg
Dilution : 0.25 μg/ml

4 / 4
Anti-CD20 antibody used in Flow cytometry (FCM). GTX05140
Anti-CD20 antibody used in IHC (Paraffin sections) (IHC-P). GTX05140
Anti-CD20 antibody used in IHC (Paraffin sections) (IHC-P). GTX05140
Anti-CD20 antibody used in Western Blot (WB). GTX05140
  • Host
    Rabbit
  • Clonality
    Polyclonal
  • Isotype
    IgG
  • Applications
    WB IHC-P FCM ELISA
  • Reactivity
    Mouse
See all CD20 products