CD22 antibody [HL5598]

Cat. No. GTX646280
Cat. No.  GTX646280
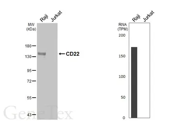
Anti-CD22 antibody [HL5598] used in Western Blot (WB). GTX646280
GTX646280 WB Image

Various whole cell extracts (30 μg) were separated by 7.5% SDS-PAGE, and the membrane was blotted with CD22 antibody [HL5598] (GTX646280) diluted at 1:1000. The HRP-conjugated anti-rabbit IgG antibody (GTX213110-01) was used to detect the primary antibody, and the signal was developed with Trident femto Western HRP Substrate. Corresponding RNA expression data are based on Human Protein Atlas program.

1 / 1
Anti-CD22 antibody [HL5598] used in Western Blot (WB). GTX646280
  • Host
    Rabbit
  • Clonality
    Monoclonal
  • Clone Name
    HL5598
  • Isotype
    IgG
  • Applications
    WB
  • Reactivity
    Human
See all CD22 products