CD31 antibody [HL3991]

Cat. No. GTX642317
Cat. No.  GTX642317
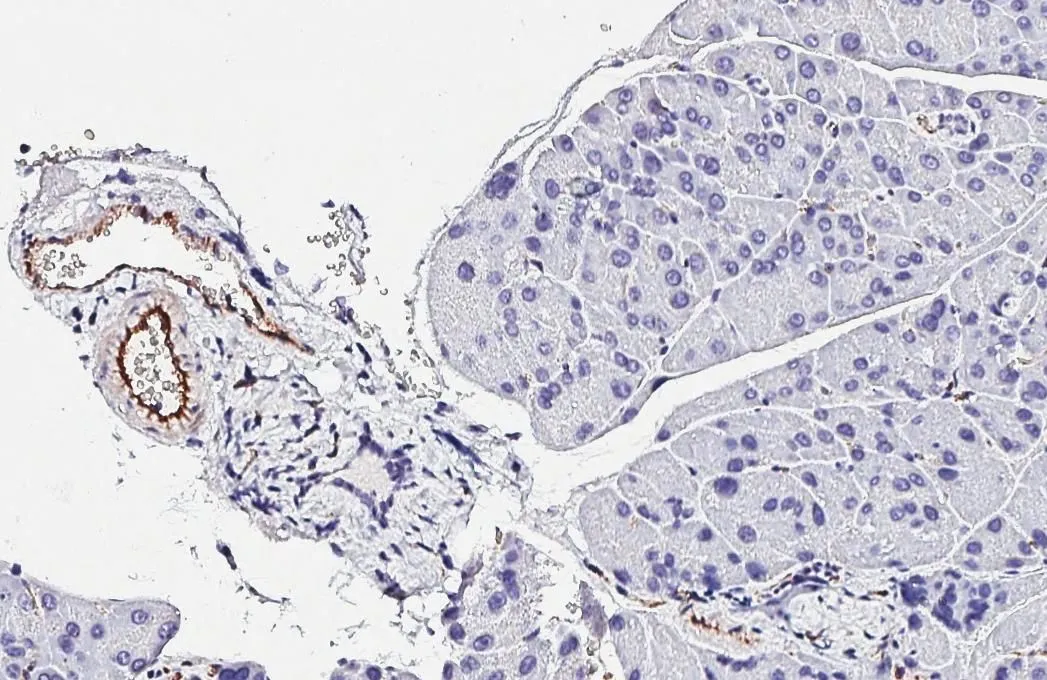
Anti-CD31 antibody [HL3991] used in IHC (Paraffin sections) (IHC-P). GTX642317
GTX642317 IHC-P Image

CD31 antibody [HL3991] detects CD31 protein by immunohistochemical analysis.
Sample: Paraffin-embedded mouse pancreas.
CD31 stained by CD31 antibody [HL3991] (GTX642317) diluted at 1:250.
Antigen Retrieval: Tris-EDTA buffer, pH 9.0, 15 min

1 / 8
Anti-CD31 antibody [HL3991] used in IHC (Paraffin sections) (IHC-P). GTX642317
GTX642317 IHC-P Image

CD31 antibody [HL3991] detects CD31 protein by immunohistochemical analysis.
Sample: Paraffin-embedded human tissues.
CD31 stained by CD31 antibody [HL3991] (GTX642317) diluted at 1:2000.
Antigen Retrieval: Tris-EDTA buffer, pH 9.0, 15 min

2 / 8
Anti-CD31 antibody [HL3991] used in IHC (Paraffin sections) (IHC-P). GTX642317
GTX642317 IHC-P Image

CD31 antibody [HL3991] detects CD31 protein by immunohistochemical analysis.
Sample: Paraffin-embedded mouse tissues.
CD31 stained by CD31 antibody [HL3991] (GTX642317) diluted at 1:250.
Antigen Retrieval: Tris-EDTA buffer, pH 9.0, 15 min

3 / 8
Anti-CD31 antibody [HL3991] used in IHC (Paraffin sections) (IHC-P). GTX642317
GTX642317 IHC-P Image

CD31 antibody [HL3991] detects CD31 protein by immunohistochemical analysis.
Sample: Paraffin-embedded human tissues.
CD31 stained by CD31 antibody [HL3991] (GTX642317) diluted at 1:2000.
Antigen Retrieval: Tris-EDTA buffer, pH 9.0, 15 min

4 / 8
Anti-CD31 antibody [HL3991] used in Immunocytochemistry/ Immunofluorescence (ICC/IF). GTX642317
GTX642317 ICC/IF Image

CD31 antibody [HL3991] detects CD31 protein by immunofluorescent analysis.
Sample: HUVEC cells were fixed in 4% paraformaldehyde at RT for 15 min.
Green: CD31 stained by CD31 antibody [HL3991] (GTX642317) diluted at 1:500.
Blue: Fluoroshield with DAPI (GTX30920).

5 / 8
Anti-CD31 antibody [HL3991] used in IHC (Frozen sections) (IHC-Fr). GTX642317
GTX642317 IHC-Fr Image

CD31 antibody [HL3991] detects CD31 protein by immunohistochemical analysis.
Sample: Frozen-sectioned mouse hippocampus.
Green: CD31 stained by CD31 antibody [HL3991] (GTX642317) diluted at 1:250.
Red: GFAP antibody [GT25] (GTX641104) diluted at 1:250.
Blue: Hoechst 33342 staining.

6 / 8
Anti-CD31 antibody [HL3991] used in Western Blot (WB). GTX642317
GTX642317 WB Image

Various whole cell extracts (30 μg) were separated by 7.5% SDS-PAGE, and the membrane was blotted with CD31 antibody [HL3991] (GTX642317) diluted at 1:1000. The HRP-conjugated anti-rabbit IgG antibody (GTX213110-01) was used to detect the primary antibody. Corresponding RNA expression data are based on Human Protein Atlas program.

7 / 8
Anti-CD31 antibody [HL3991] used in IHC (Paraffin sections) (IHC-P). GTX642317
GTX642317 IHC-P Image

CD31 antibody [HL3991] detects CD31 protein by immunohistochemical analysis.
Sample: Paraffin-embedded mouse tissues.
CD31 stained by CD31 antibody [HL3991] (GTX642317) diluted at 1:200.
Antigen Retrieval: Citrate buffer, pH 6.0, 15 min

8 / 8
Anti-CD31 antibody [HL3991] used in IHC (Paraffin sections) (IHC-P). GTX642317
Anti-CD31 antibody [HL3991] used in IHC (Paraffin sections) (IHC-P). GTX642317
Anti-CD31 antibody [HL3991] used in IHC (Paraffin sections) (IHC-P). GTX642317
Anti-CD31 antibody [HL3991] used in IHC (Paraffin sections) (IHC-P). GTX642317
Anti-CD31 antibody [HL3991] used in Immunocytochemistry/ Immunofluorescence (ICC/IF). GTX642317
Anti-CD31 antibody [HL3991] used in IHC (Frozen sections) (IHC-Fr). GTX642317
Anti-CD31 antibody [HL3991] used in Western Blot (WB). GTX642317
Anti-CD31 antibody [HL3991] used in IHC (Paraffin sections) (IHC-P). GTX642317
  • Host
    Rabbit
  • Clonality
    Monoclonal
  • Clone Name
    HL3991
  • Isotype
    IgG
  • Applications
    WB ICC/IF IHC-P IHC-Fr
  • Reactivity
    Human, Mouse
See all CD31 products