CD33 antibody [HL4991]

Cat. No. GTX645077
Cat. No.  GTX645077
Anti-CD33 antibody [HL4991] used in Immunocytochemistry/ Immunofluorescence (ICC/IF). GTX645077
GTX645077 ICC/IF Image

CD33 antibody [HL4991] detects CD33 protein by immunofluorescent analysis.
Sample: Mock and transfected 293T cells were fixed in ice-cold MeOH for 5 min.
Green: CD33 stained by CD33 antibody [HL4991] (GTX645077) diluted at 1:500.
Blue: Fluoroshield with DAPI (GTX30920).

1 / 4
Anti-CD33 antibody [HL4991] used in Immunocytochemistry/ Immunofluorescence (ICC/IF). GTX645077
GTX645077 ICC/IF Image

CD33 antibody [HL4991] detects CD33 protein by immunofluorescent analysis.
Sample: HL-60 cells were fixed in 4% paraformaldehyde at RT for 15 min.
Green: CD33 stained by CD33 antibody [HL4991] (GTX645077) diluted at 1:100.
Blue: Fluoroshield with DAPI (GTX30920).

2 / 4
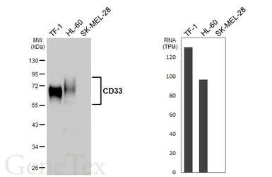
Anti-CD33 antibody [HL4991] used in Western Blot (WB). GTX645077
GTX645077 WB Image

Various whole cell extracts (30 μg) were separated by 10% SDS-PAGE, and the membrane was blotted with CD33 antibody [HL4991] (GTX645077) diluted at 1:1000. The HRP-conjugated anti-rabbit IgG antibody (GTX213110-01) was used to detect the primary antibody. Corresponding RNA expression data are based on Human Protein Atlas program.

3 / 4
Anti-CD33 antibody [HL4991] used in Western Blot (WB). GTX645077
GTX645077 WB Image

Non-transfected (–) and transfected (+) unboiled 293T whole cell extracts (30 μg) were separated by 10% SDS-PAGE, and the membrane was blotted with CD33 antibody [HL4991] (GTX645077) diluted at 1:5000. The HRP-conjugated anti-rabbit IgG antibody (GTX213110-01) was used to detect the primary antibody.

4 / 4
Anti-CD33 antibody [HL4991] used in Immunocytochemistry/ Immunofluorescence (ICC/IF). GTX645077
Anti-CD33 antibody [HL4991] used in Immunocytochemistry/ Immunofluorescence (ICC/IF). GTX645077
Anti-CD33 antibody [HL4991] used in Western Blot (WB). GTX645077
Anti-CD33 antibody [HL4991] used in Western Blot (WB). GTX645077
  • Host
    Rabbit
  • Clonality
    Monoclonal
  • Clone Name
    HL4991
  • Isotype
    IgG
  • Applications
    WB ICC/IF
  • Reactivity
    Human
See all CD33 products