CD4 antibody [8G1B12]

Cat. No. GTX17283
Cat. No.  GTX17283
Anti-CD4 antibody [8G1B12] used in Western Blot (WB). GTX17283
GTX17283 WB Image

WB analysis of rat lung tissue lysate using GTX17283 CD4 antibody [8G1B12].
Working concentration : (A) 0.5 and (B) 1 μg/ml

1 / 3
Anti-CD4 antibody [8G1B12] used in IHC (Paraffin sections) (IHC-P). GTX17283
GTX17283 IHC-P Image

IHC-P analysis of human thymus tissue using GTX17283 CD4 antibody [8G1B12].
Working concentration : 5 μg/ml
Green : Primary antibody
Blue : DAPI
Red : Actin

2 / 3
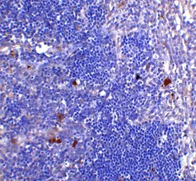
Anti-CD4 antibody [8G1B12] used in IHC (Paraffin sections) (IHC-P). GTX17283
GTX17283 IHC-P Image

IHC-P analysis of human thymus tissue using GTX17283 CD4 antibody [8G1B12].
Working concentration : 5 μg/ml

3 / 3
Anti-CD4 antibody [8G1B12] used in Western Blot (WB). GTX17283
Anti-CD4 antibody [8G1B12] used in IHC (Paraffin sections) (IHC-P). GTX17283
Anti-CD4 antibody [8G1B12] used in IHC (Paraffin sections) (IHC-P). GTX17283
  • Host
    Mouse
  • Clonality
    Monoclonal
  • Clone Name
    8G1B12
  • Isotype
    IgG1
  • Applications
    WB IHC-P ELISA
  • Reactivity
    Human, Mouse, Rat
See all CD4 products