CD4 antibody

Cat. No. GTX50984
Cat. No.  GTX50984
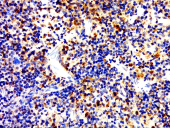
Anti-CD4 antibody used in IHC (Paraffin sections) (IHC-P). GTX50984
GTX50984 IHC-P Image

IHC-P analysis of mouse lymphoma tissue using GTX50984 CD4 antibody.
Antigen retrieval : Boiling in sodium citrate buffer (pH6) for 15min
Dilution : 1:200

1 / 9
Anti-CD4 antibody used in Flow cytometry (FCM). GTX50984
GTX50984 FCM Image

FACS analysis of mouse spleen cells using GTX50984 CD4 antibody.
Green : Primary antibody
Blue : Unstained
Orange : Isotype control
Fixation : 70% methanol (Overnight at 4ºC)
Dilution : 1:100

2 / 9
Anti-CD4 antibody used in IHC (Paraffin sections) (IHC-P). GTX50984
GTX50984 IHC-P Image

IHC-P analysis of mouse kidney tissue using GTX50984 CD4 antibody.
Dilution : 1:200

3 / 9
Anti-CD4 antibody used in IHC (Paraffin sections) (IHC-P). GTX50984
GTX50984 IHC-P Image

IHC-P analysis of lympho tissue (lymphocytes) using GTX50984 CD4 antibody.

4 / 9
Anti-CD4 antibody used in IHC (Paraffin sections) (IHC-P). GTX50984
GTX50984 IHC-P Image

IHC-P analysis of lympho tissue (lymphocytes) using GTX50984 CD4 antibody.

5 / 9
Anti-CD4 antibody used in Western Blot (WB). GTX50984
GTX50984 WB Image

WB analysis of various samples using GTX50984 CD4 antibody.
Dilution : 1:300
Lane 1 : mouse lymph node
Lane 2 : mouse spleen

6 / 9
Anti-CD4 antibody used in Western Blot (WB). GTX50984
GTX50984 WB Image

WB analysis of mouse spleen tissue lysate using GTX50984 CD4 antibody.
Dilution : 1:500

7 / 9
Anti-CD4 antibody used in IHC (Paraffin sections) (IHC-P). GTX50984
GTX50984 IHC-P Image

IHC-P analysis of rat spleen tissue using GTX50984 CD4 antibody.
Antigen retrieval : Boiling in sodium citrate buffer (pH6) for 15min
Dilution : 1:400

8 / 9
Anti-CD4 antibody used in IHC (Paraffin sections) (IHC-P). GTX50984
GTX50984 IHC-P Image

IHC-P analysis of rat skin tissue using GTX50984 CD4 antibody.
Dilution : 1:300

9 / 9
Anti-CD4 antibody used in IHC (Paraffin sections) (IHC-P). GTX50984
Anti-CD4 antibody used in Flow cytometry (FCM). GTX50984
Anti-CD4 antibody used in IHC (Paraffin sections) (IHC-P). GTX50984
Anti-CD4 antibody used in IHC (Paraffin sections) (IHC-P). GTX50984
Anti-CD4 antibody used in IHC (Paraffin sections) (IHC-P). GTX50984
Anti-CD4 antibody used in Western Blot (WB). GTX50984
Anti-CD4 antibody used in Western Blot (WB). GTX50984
Anti-CD4 antibody used in IHC (Paraffin sections) (IHC-P). GTX50984
Anti-CD4 antibody used in IHC (Paraffin sections) (IHC-P). GTX50984
  • Host
    Rabbit
  • Clonality
    Polyclonal
  • Isotype
    IgG
  • Applications
    WB IHC-P FCM
  • Reactivity
    Mouse, Rat
See all CD4 products