CD44 antibody [Hermes-3]

Cat. No. GTX03492
Cat. No.  GTX03492
Anti-CD44 antibody [Hermes-3] used in Western Blot (WB). GTX03492
GTX03492 WB Image

WB analysis of various sample lysates using GTX03492 CD44 antibody [Hermes-3].
Lane 1 : HeLa whole cell lysate
Lane 2 : HUVEC whole cell lysate Lysate
Dilution : 1:2000
Loading : 20 μg per lane

1 / 9
Anti-CD44 antibody [Hermes-3] used in Immunocytochemistry/ Immunofluorescence (ICC/IF). GTX03492
GTX03492 ICC/IF Image

ICC/IF analysis of HeLa cells using GTX03492 CD44 antibody [Hermes-3].
Red : Primary antibody
Blue : DAPI
Dilution : 0.01 mg/ml

2 / 9
Anti-CD44 antibody [Hermes-3] used in IHC (Paraffin sections) (IHC-P). GTX03492
GTX03492 IHC-P Image

IHC-P analysis of human lung adenocarcinoma tissue using GTX03492 CD44 antibody [Hermes-3].
Antigen retireval : Heat mediation with a citrate buffer (pH6)
Dilution : 1:25

3 / 9
Anti-CD44 antibody [Hermes-3] used in IHC (Paraffin sections) (IHC-P). GTX03492
GTX03492 IHC-P Image

IHC-P analysis of human skin tissue using GTX03492 CD44 antibody [Hermes-3].
Antigen retireval : Heat mediation with a citrate buffer (pH6)
Dilution : 1:25

4 / 9
Anti-CD44 antibody [Hermes-3] used in IHC (Paraffin sections) (IHC-P). GTX03492
GTX03492 IHC-P Image

IHC-P analysis of human lung adenocarcinoma tissue using GTX03492 CD44 antibody [Hermes-3].
Antigen retireval : Heat mediation with a citrate buffer (pH6)
Dilution : 1:25

5 / 9
Anti-CD44 antibody [Hermes-3] used in Flow cytometry (FCM). GTX03492
GTX03492 FCM Image

FACS analysis of human peripheral blood lymphocytes using GTX03492 CD44 antibody [Hermes-3]. Acquisition of >10, 000 events was performed.
Green : Primary antibody
Blue : Isotype control
Dilution : 1:50

6 / 9
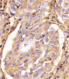
Anti-CD44 antibody [Hermes-3] used in IHC (Paraffin sections) (IHC-P). GTX03492
GTX03492 IHC-P Image

IHC-P analysis of human esophagus carcinoma tissue using GTX03492 CD44 antibody [Hermes-3].

7 / 9
Anti-CD44 antibody [Hermes-3] used in IHC (Paraffin sections) (IHC-P). GTX03492
GTX03492 IHC-P Image

IHC-P analysis of human skin tissue using GTX03492 CD44 antibody [Hermes-3].
Antigen retireval : Heat mediation with a citrate buffer (pH6)
Dilution : 1:25

8 / 9
Anti-CD44 antibody [Hermes-3] used in Flow cytometry (FCM). GTX03492
GTX03492 FCM Image

FACS analysis of human peripheral blood lymphocytes using GTX03492 CD44 antibody [Hermes-3]. Acquisition of >10, 000 events was performed.
Green : Primary antibody
Blue : Isotype control
Dilution : 1:50

9 / 9
Anti-CD44 antibody [Hermes-3] used in Western Blot (WB). GTX03492
Anti-CD44 antibody [Hermes-3] used in Immunocytochemistry/ Immunofluorescence (ICC/IF). GTX03492
Anti-CD44 antibody [Hermes-3] used in IHC (Paraffin sections) (IHC-P). GTX03492
Anti-CD44 antibody [Hermes-3] used in IHC (Paraffin sections) (IHC-P). GTX03492
Anti-CD44 antibody [Hermes-3] used in IHC (Paraffin sections) (IHC-P). GTX03492
Anti-CD44 antibody [Hermes-3] used in Flow cytometry (FCM). GTX03492
Anti-CD44 antibody [Hermes-3] used in IHC (Paraffin sections) (IHC-P). GTX03492
Anti-CD44 antibody [Hermes-3] used in IHC (Paraffin sections) (IHC-P). GTX03492
Anti-CD44 antibody [Hermes-3] used in Flow cytometry (FCM). GTX03492
  • Host
    Mouse
  • Clonality
    Monoclonal
  • Clone Name
    Hermes-3
  • Isotype
    IgG2a
  • Applications
    WB ICC/IF IHC-P FCM
  • Reactivity
    Human
See all CD44 products