CD59 antibody [MACIF/629]

Cat. No. GTX34532
Cat. No.  GTX34532
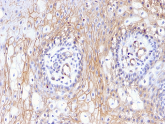
Anti-CD59 antibody [MACIF/629] used in IHC (Paraffin sections) (IHC-P). GTX34532
GTX34532 IHC-P Image

IHC-P analysis of human tongue tissue using GTX34532 CD59 antibody [MACIF/629].

1 / 2
Anti-CD59 antibody [MACIF/629] used in IHC (Paraffin sections) (IHC-P). GTX34532
GTX34532 IHC-P Image

IHC-P analysis of human tongue tissue using GTX34532 CD59 antibody [MACIF/629].

2 / 2
Anti-CD59 antibody [MACIF/629] used in IHC (Paraffin sections) (IHC-P). GTX34532
Anti-CD59 antibody [MACIF/629] used in IHC (Paraffin sections) (IHC-P). GTX34532
  • Host
    Mouse
  • Clonality
    Monoclonal
  • Clone Name
    MACIF/629
  • Isotype
    IgG1
  • Applications
    ICC/IF IHC-P FCM
  • Reactivity
    Human
See all CD59 products