CD63 antibody [GT368]

Cat. No. GTX646552
Cat. No.  GTX646552
Anti-CD63 antibody [GT368] used in Western Blot (WB). GTX646552
GTX646552 WB Image

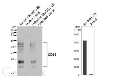
Boiled and unboiled various whole cell extracts (30 μg) were separated by 12% SDS-PAGE, and the membrane was blotted with CD63 antibody [GT368] (GTX646552) diluted at 1:1000. The HRP-conjugated anti-mouse IgG antibody (GTX213111-01) was used to detect the primary antibody. Corresponding RNA expression data are based on Human Protein Atlas program.

1 / 1
Anti-CD63 antibody [GT368] used in Western Blot (WB). GTX646552
  • Host
    Mouse
  • Clonality
    Monoclonal
  • Clone Name
    GT368
  • Isotype
    IgG2a
  • Applications
    WB
  • Reactivity
    Human
See all CD63 products