CD66e antibody

Cat. No. GTX108732
Cat. No.  GTX108732
Anti-CD66e antibody used in Western Blot (WB). GTX108732
GTX108732 WB Image

Various whole cell extracts (30 μg) were separated by 5% SDS-PAGE, and the membrane was blotted with CD66e antibody (GTX108732) diluted at 1:1000. The HRP-conjugated anti-rabbit IgG antibody (GTX213110-01) was used to detect the primary antibody. Corresponding RNA expression data for the same cell lines are based on Human Protein Atlas program.

1 / 6
Anti-CD66e antibody used in Western Blot (WB). GTX108732
GTX108732 WB Image

CD66e antibody detects CD66e protein by Western blot analysis. Various whole cell extracts (30 μg) were separated by 7.5% SDS-PAGE, and the membrane was blotted with CD66e antibody (GTX108732) diluted by 1:1000.

2 / 6
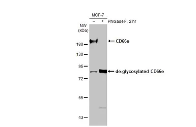
Anti-CD66e antibody used in Western Blot (WB). GTX108732
GTX108732 WB Image

Untreated (–) and treated (+) MCF-7 whole cell extracts (30 μg) were separated by 7.5% SDS-PAGE, and the membrane was blotted with CD66e antibody (GTX108732) diluted at 1:1000. The HRP-conjugated anti-rabbit IgG antibody (GTX213110-01) was used to detect the primary antibody.

3 / 6
Anti-CD66e antibody used in Western Blot (WB). GTX108732
GTX108732 WB Image

CD66e antibody detects CD66e protein by western blot analysis. Whole cell extracts (30 μg) was separated by 5% SDS-PAGE, and the membrane was blotted with CD66e antibody (GTX108732) diluted by 1:5000. The HRP-conjugated anti-rabbit IgG antibody (GTX213110-01) was used to detect the primary antibody.

4 / 6
Anti-CD66e antibody used in IHC (Paraffin sections) (IHC-P). GTX108732
GTX108732 IHC-P Image

Immunohistochemical analysis of paraffin-embedded SG xenograft, using CD66e(GTX108732) antibody at 1:500 dilution.
Antigen Retrieval: Trilogy™ (EDTA based, pH 8.0) buffer, 15min

5 / 6
Anti-CD66e antibody used in Immunocytochemistry/ Immunofluorescence (ICC/IF). GTX108732
GTX108732 ICC/IF Image

Confocal immunofluorescence analysis (Olympus FV10i) of paraformaldehyde-fixed A431, using CD66e(GTX108732) antibody (Green) at 1:500 dilution. Alpha-tubulin filaments were labeled with GTX11304 (Red) at 1:2000.

6 / 6
Anti-CD66e antibody used in Western Blot (WB). GTX108732
Anti-CD66e antibody used in Western Blot (WB). GTX108732
Anti-CD66e antibody used in Western Blot (WB). GTX108732
Anti-CD66e antibody used in Western Blot (WB). GTX108732
Anti-CD66e antibody used in IHC (Paraffin sections) (IHC-P). GTX108732
Anti-CD66e antibody used in Immunocytochemistry/ Immunofluorescence (ICC/IF). GTX108732
  • Host
    Rabbit
  • Clonality
    Polyclonal
  • Isotype
    IgG
  • Applications
    WB ICC/IF IHC-P
  • Reactivity
    Human
See all CD66e products