CD74 antibody [HL3636]

Cat. No. GTX641627
Cat. No.  GTX641627
Anti-CD74 antibody [HL3636] used in Immunocytochemistry/ Immunofluorescence (ICC/IF). GTX641627
GTX641627 ICC/IF Image

CD74 antibody [HL3636] detects CD74 protein by immunofluorescent analysis.
Sample: Raji cells were fixed in 4% paraformaldehyde at RT for 15 min.
Green: CD74 stained by CD74 antibody [HL3636] (GTX641627) diluted at 1:100.
Blue: Fluoroshield with DAPI (GTX30920).

1 / 3
Anti-CD74 antibody [HL3636] used in Western Blot (WB). GTX641627
GTX641627 WB Image

Untreated (–) and treated (+) unboiled Raji whole cell extracts (30 μg) were separated by 15% SDS-PAGE, and the membrane was blotted with CD74 antibody [HL3636] (GTX641627) diluted at 1:1000. The HRP-conjugated anti-rabbit IgG antibody (GTX213110-01) was used to detect the primary antibody.

2 / 3
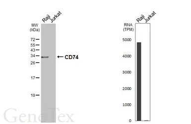
Anti-CD74 antibody [HL3636] used in Western Blot (WB). GTX641627
GTX641627 WB Image

Various whole cell extracts (30 μg) were separated by 15% SDS-PAGE, and the membrane was blotted with CD74 antibody [HL3636] (GTX641627) diluted at 1:1000. The HRP-conjugated anti-rabbit IgG antibody (GTX213110-01) was used to detect the primary antibody. Corresponding RNA expression data for the same cell lines are based on Human Protein Atlas program.

3 / 3
Anti-CD74 antibody [HL3636] used in Immunocytochemistry/ Immunofluorescence (ICC/IF). GTX641627
Anti-CD74 antibody [HL3636] used in Western Blot (WB). GTX641627
Anti-CD74 antibody [HL3636] used in Western Blot (WB). GTX641627
  • Host
    Rabbit
  • Clonality
    Monoclonal
  • Clone Name
    HL3636
  • Isotype
    IgG
  • Applications
    WB ICC/IF
  • Reactivity
    Human
See all CD74 products