CD80 antibody [MAB0713]

Cat. No. GTX53131
Cat. No.  GTX53131
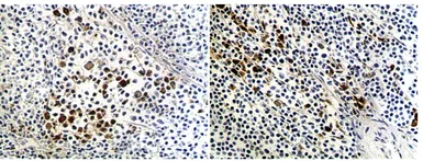
Anti-CD80 antibody [MAB0713] used in IHC (Paraffin sections) (IHC-P). GTX53131
GTX53131 IHC-P Image

IHC-P analysis of formalin fixed mouse spleen tissue section using GTX53131 CD80 antibody [MAB0713].
Left panel : Red Pulp
Right panel : White Pulp

1 / 2
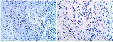
Anti-CD80 antibody [MAB0713] used in IHC (Paraffin sections) (IHC-P). GTX53131
GTX53131 IHC-P Image

IHC-P analysis of formalin fixed mouse tumor tissue section using GTX53131 CD80 antibody [MAB0713].
Left panel: x 20; Right panel: x 40

2 / 2
Anti-CD80 antibody [MAB0713] used in IHC (Paraffin sections) (IHC-P). GTX53131
Anti-CD80 antibody [MAB0713] used in IHC (Paraffin sections) (IHC-P). GTX53131
  • Host
    Armenian Hamster
  • Clonality
    Monoclonal
  • Clone Name
    MAB0713
  • Isotype
    IgG
  • Applications
    IHC-P FCM
  • Reactivity
    Mouse
See all CD80 products