CD86 antibody [MAB0803]

Cat. No. GTX53134
Cat. No.  GTX53134
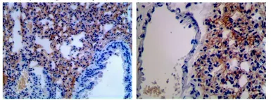
Anti-CD86 antibody [MAB0803] used in IHC (Paraffin sections) (IHC-P). GTX53134
GTX53134 IHC-P Image

IHC-P analysis of 4% PFA fixed lung tissue sections from LPS exposed mouse using GTX53134 CD86 antibody [MAB0803].

1 / 1
Anti-CD86 antibody [MAB0803] used in IHC (Paraffin sections) (IHC-P). GTX53134
  • Host
    Rat
  • Clonality
    Monoclonal
  • Clone Name
    MAB0803
  • Isotype
    IgG2
  • Applications
    IHC-P FCM
  • Reactivity
    Mouse
See all CD86 products