CD93 antibody

Cat. No. GTX03672
Cat. No.  GTX03672
Anti-CD93 antibody used in Flow cytometry (FCM). GTX03672
GTX03672 FCM Image

FACS analysis of U937 cells using GTX03672 CD93 antibody.
Blue : Primary antibody
Green : Isotype control
Red : Unlabelled sample
Antibody amount : 1 μg/1x10⁶ cells

1 / 11
Anti-CD93 antibody used in Flow cytometry (FCM). GTX03672
GTX03672 FCM Image

FACS analysis of THP-1 cells using GTX03672 CD93 antibody.
Blue : Primary antibody
Green : Isotype control
Red : Unlabelled sample
Antibody amount : 1 μg/1x10⁶ cells

2 / 11
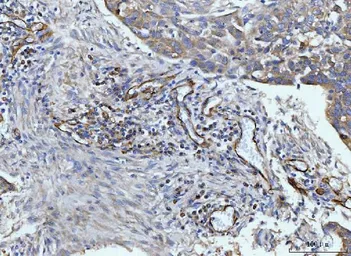
Anti-CD93 antibody used in IHC (Paraffin sections) (IHC-P). GTX03672
GTX03672 IHC-P Image

IHC-P analysis of human liver cancer tissue using GTX03672 CD93 antibody.
Antigen retireval : Heat mediated antigen retrieval was performed in EDTA buffer (pH 8.0, epitope retrieval solution)
Dilution : 2 μg/ml

3 / 11
Anti-CD93 antibody used in IHC (Paraffin sections) (IHC-P). GTX03672
GTX03672 IHC-P Image

IHC-P analysis of human lung cancer tissue using GTX03672 CD93 antibody.
Antigen retireval : Heat mediated antigen retrieval was performed in EDTA buffer (pH 8.0, epitope retrieval solution)
Dilution : 2 μg/ml

4 / 11
Anti-CD93 antibody used in IHC (Paraffin sections) (IHC-P). GTX03672
GTX03672 IHC-P Image

IHC-P analysis of human gastric adenocarcinoma tissue using GTX03672 CD93 antibody.
Antigen retireval : Heat mediated antigen retrieval was performed in EDTA buffer (pH 8.0, epitope retrieval solution)
Dilution : 2 μg/ml

5 / 11
Anti-CD93 antibody used in IHC (Paraffin sections) (IHC-P). GTX03672
GTX03672 IHC-P Image

IHC-P analysis of human liver cancer tissue using GTX03672 CD93 antibody.
Antigen retireval : Heat mediated antigen retrieval was performed in EDTA buffer (pH 8.0, epitope retrieval solution)
Dilution : 2 μg/ml

6 / 11
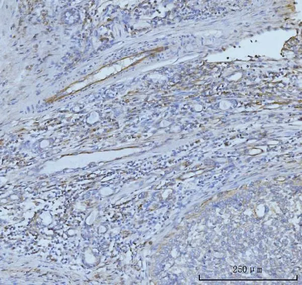
Anti-CD93 antibody used in IHC (Paraffin sections) (IHC-P). GTX03672
GTX03672 IHC-P Image

IHC-P analysis of human gall bladder adenosquamous carcinoma tissue using GTX03672 CD93 antibody.
Antigen retireval : Heat mediated antigen retrieval was performed in EDTA buffer (pH 8.0, epitope retrieval solution)
Dilution : 2 μg/ml

7 / 11
Anti-CD93 antibody used in IHC (Paraffin sections) (IHC-P). GTX03672
GTX03672 IHC-P Image

IHC-P analysis of human appendiceal adenocarcinoma tissue using GTX03672 CD93 antibody.
Antigen retireval : Heat mediated antigen retrieval was performed in EDTA buffer (pH 8.0, epitope retrieval solution)
Dilution : 2 μg/ml

8 / 11
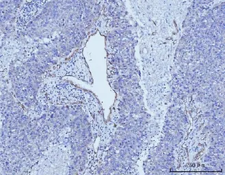
Anti-CD93 antibody used in IHC (Paraffin sections) (IHC-P). GTX03672
GTX03672 IHC-P Image

IHC-P analysis of human placenta tissue using GTX03672 CD93 antibody.
Antigen retireval : Heat mediated antigen retrieval was performed in EDTA buffer (pH 8.0, epitope retrieval solution)
Dilution : 2 μg/ml

9 / 11
Anti-CD93 antibody used in IHC (Paraffin sections) (IHC-P). GTX03672
GTX03672 IHC-P Image

IHC-P analysis of human breast cancer tissue using GTX03672 CD93 antibody.
Antigen retireval : Heat mediated antigen retrieval was performed in EDTA buffer (pH 8.0, epitope retrieval solution)
Dilution : 2 μg/ml

10 / 11
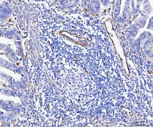
Anti-CD93 antibody used in IHC (Paraffin sections) (IHC-P). GTX03672
GTX03672 IHC-P Image

IHC-P analysis of human colonic adenocarcinoma tissue using GTX03672 CD93 antibody.
Antigen retireval : Heat mediated antigen retrieval was performed in EDTA buffer (pH 8.0, epitope retrieval solution)
Dilution : 2 μg/ml

11 / 11
Anti-CD93 antibody used in Flow cytometry (FCM). GTX03672
Anti-CD93 antibody used in Flow cytometry (FCM). GTX03672
Anti-CD93 antibody used in IHC (Paraffin sections) (IHC-P). GTX03672
Anti-CD93 antibody used in IHC (Paraffin sections) (IHC-P). GTX03672
Anti-CD93 antibody used in IHC (Paraffin sections) (IHC-P). GTX03672
Anti-CD93 antibody used in IHC (Paraffin sections) (IHC-P). GTX03672
Anti-CD93 antibody used in IHC (Paraffin sections) (IHC-P). GTX03672
Anti-CD93 antibody used in IHC (Paraffin sections) (IHC-P). GTX03672
Anti-CD93 antibody used in IHC (Paraffin sections) (IHC-P). GTX03672
Anti-CD93 antibody used in IHC (Paraffin sections) (IHC-P). GTX03672
Anti-CD93 antibody used in IHC (Paraffin sections) (IHC-P). GTX03672
  • Host
    Rabbit
  • Clonality
    Polyclonal
  • Isotype
    IgG
  • Applications
    IHC-P FCM
  • Reactivity
    Human
See all CD93 products