CDC2 antibody [8C5A6]

Cat. No. GTX82995
Cat. No.  GTX82995
Anti-CDC2 antibody [8C5A6] used in Western Blot (WB). GTX82995
GTX82995 WB Image

WB analysis of Jurkat cell lysate using GTX82995 CDC2 antibody [8C5A6].

1 / 2
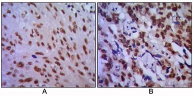
Anti-CDC2 antibody [8C5A6] used in IHC (Paraffin sections) (IHC-P). GTX82995
GTX82995 IHC-P Image

IHC-P analysis of human lung cancer (A) and esophageal cancer (B) using GTX82995 CDC2 antibody [8C5A6].

2 / 2
Anti-CDC2 antibody [8C5A6] used in Western Blot (WB). GTX82995
Anti-CDC2 antibody [8C5A6] used in IHC (Paraffin sections) (IHC-P). GTX82995
  • Host
    Mouse
  • Clonality
    Monoclonal
  • Clone Name
    8C5A6
  • Isotype
    IgG1
  • Applications
    WB IHC-P ELISA
  • Reactivity
    Human
See all CDC2 products