CDC6 (phospho Ser54) antibody

Cat. No. GTX55007
Cat. No.  GTX55007
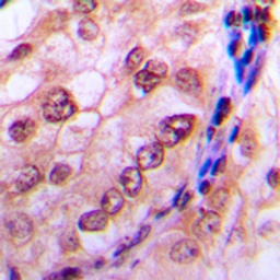
Anti-CDC6 (phospho Ser54) antibody used in IHC (Paraffin sections) (IHC-P). GTX55007
GTX55007 IHC-P Image

IHC-P analysis of formalin fixed human breast cancer tissue section using GTX55007 CDC6 (phospho Ser54) antibody.
Antigen retrieval : Heat mediated antigen retrieval with sodium citrate buffer (pH 6.0)

1 / 2
Anti-CDC6 (phospho Ser54) antibody used in Western Blot (WB). GTX55007
GTX55007 WB Image

WB analysis of serum starvation-treated HeLa (A), serum starvation-treated Raw264.7 (B), serum starvation-treated H9C2 (C) whole cell lysates using GTX55007 CDC6 (phospho Ser54) antibody.

2 / 2
Anti-CDC6 (phospho Ser54) antibody used in IHC (Paraffin sections) (IHC-P). GTX55007
Anti-CDC6 (phospho Ser54) antibody used in Western Blot (WB). GTX55007
  • Host
    Rabbit
  • Clonality
    Polyclonal
  • Isotype
    IgG
  • Applications
    WB IHC-P
  • Reactivity
    Human, Mouse, Rat
See all CDC6 products