CDCA4 antibody

Cat. No. GTX87853
Cat. No.  GTX87853
Anti-CDCA4 antibody used in Immunocytochemistry/ Immunofluorescence (ICC/IF). GTX87853
GTX87853 ICC/IF Image

ICC/IF analysis of HepG2 cells using GTX87853 CDCA4 antibody. The picture on the right is blocked with the synthesized peptide.

1 / 2
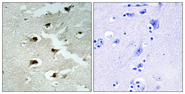
Anti-CDCA4 antibody used in IHC (Paraffin sections) (IHC-P). GTX87853
GTX87853 IHC-P Image

IHC-P analysis of human brain tissue using GTX87853 CDCA4 antibody. The picture on the right is blocked with the synthesized peptide.

2 / 2
Anti-CDCA4 antibody used in Immunocytochemistry/ Immunofluorescence (ICC/IF). GTX87853
Anti-CDCA4 antibody used in IHC (Paraffin sections) (IHC-P). GTX87853
  • Host
    Rabbit
  • Clonality
    Polyclonal
  • Isotype
    IgG
  • Applications
    ICC/IF IHC-P
  • Reactivity
    Human
See all CDCA4 products