CDK5 antibody [2H6]

Cat. No. GTX84696
Cat. No.  GTX84696
Anti-CDK5 antibody [2H6] used in Immunocytochemistry/ Immunofluorescence (ICC/IF). GTX84696
GTX84696 ICC/IF Image

ICC/IF analysis of HT29 cells using GTX84696 CDK5 antibody [2H6].

1 / 8
Anti-CDK5 antibody [2H6] used in Western Blot (WB). GTX84696
GTX84696 WB Image

WB analysis of HEK293T cells transfected with CDK5 plasmid (Right) or empty vector (Left) for 48 hrs using GTX84696 CDK5 antibody [2H6].
Loading : 5 ug per lane

2 / 8
Anti-CDK5 antibody [2H6] used in Flow cytometry (FCM). GTX84696
GTX84696 FCM Image

FACS analysis of HEK293T cells transfected with either CDK5 plasmid(Red) or empty vector control plasmid(Blue) using GTX84696 CDK5 antibody [2H6].

3 / 8
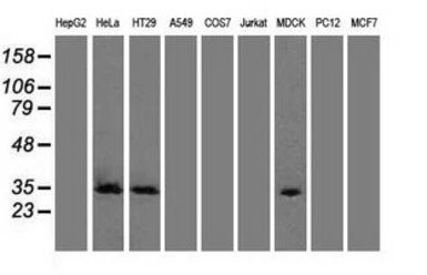
Anti-CDK5 antibody [2H6] used in Western Blot (WB). GTX84696
GTX84696 WB Image

WB analysis of various samples using GTX84696 CDK5 antibody [2H6].
Loading : 10 ug per lane
Dilution : 1:200

4 / 8
Anti-CDK5 antibody [2H6] used in Western Blot (WB). GTX84696
GTX84696 WB Image

WB analysis of human tissues (Lane 1-Testis ; Lane 2-Omentum ; Lane 3-Uterus ; Lane 4-Breast ; Lane 5-Brain ; Lane 6-Liver ; Lane 7-Ovary ; Lane 8-Thyroid gland ; Lane 9-colon ; Lane 10-spleen) using GTX84696 CDK5 antibody [2H6].
Loading : 10 ug per lane
Dilution : 1:200

5 / 8
Anti-CDK5 antibody [2H6] used in Western Blot (WB). GTX84696
GTX84696 WB Image

WB analysis of various cell lines using GTX84696 CDK5 antibody [2H6].
Loading : 35 ug per lane

6 / 8
Anti-CDK5 antibody [2H6] used in Western Blot (WB). GTX84696
GTX84696 WB Image

WB analysis of wild type and CDK5 knock out 293T cell lysate(10μg per lane) using GTX84696 CDK5 antibody [2H6].
Dilution : 1:500

7 / 8
Anti-CDK5 antibody [2H6] used in Immunocytochemistry/ Immunofluorescence (ICC/IF). GTX84696
GTX84696 ICC/IF Image

ICC/IF analysis of COS7 cells transiently transfected with CDK5 plasmid using GTX84696 CDK5 antibody [2H6].

8 / 8
Anti-CDK5 antibody [2H6] used in Immunocytochemistry/ Immunofluorescence (ICC/IF). GTX84696
Anti-CDK5 antibody [2H6] used in Western Blot (WB). GTX84696
Anti-CDK5 antibody [2H6] used in Flow cytometry (FCM). GTX84696
Anti-CDK5 antibody [2H6] used in Western Blot (WB). GTX84696
Anti-CDK5 antibody [2H6] used in Western Blot (WB). GTX84696
Anti-CDK5 antibody [2H6] used in Western Blot (WB). GTX84696
Anti-CDK5 antibody [2H6] used in Western Blot (WB). GTX84696
Anti-CDK5 antibody [2H6] used in Immunocytochemistry/ Immunofluorescence (ICC/IF). GTX84696
  • Host
    Mouse
  • Clonality
    Monoclonal
  • Clone Name
    2H6
  • Isotype
    IgG1
  • Applications
    WB ICC/IF FCM
  • Reactivity
    Human, Mouse, Dog
See all CDK5 products