CDKN2A / p16INK4a antibody

Cat. No. GTX05147
Cat. No.  GTX05147
Anti-CDKN2A / p16INK4a antibody used in Western Blot (WB). GTX05147
GTX05147 WB Image

WB analysis of mouse colon tissue lysate using GTX05147 CDKN2A / p16INK4a antibody.
Loading : 15μg
Dilution :
Lane A : 1 μg/mL
Lane B : 2 μg/mL

1 / 12
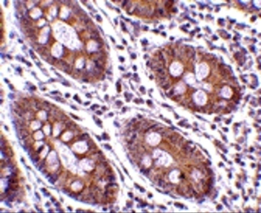
Anti-CDKN2A / p16INK4a antibody used in IHC (Paraffin sections) (IHC-P). GTX05147
GTX05147 IHC-P Image

IHC-P analysis of human colon tissue using GTX05147 CDKN2A / p16INK4a antibody.
Antigen retrieval : Heat mediated antigen retrieval performed with citrate buffer (pH6.0)
Red : Primary antibody
Blue : DAPI
Dilution : 10 μg/mL

2 / 12
Anti-CDKN2A / p16INK4a antibody used in Immunocytochemistry/ Immunofluorescence (ICC/IF). GTX05147
GTX05147 ICC/IF Image

ICC/IF analysis of 4% PFA-fixed A431 cells using GTX05147 CDKN2A / p16INK4a antibody.
Green : Primary antibody
Blue : DAPI
Dilution : 20 μg/mL

3 / 12
Anti-CDKN2A / p16INK4a antibody used in Western Blot (WB). GTX05147
GTX05147 WB Image

WB analysis of various samples using GTX05147 CDKN2A / p16INK4a antibody.
Lane 1 : Human breast tissue lysate
Lane 2 : Human lung tumor tissue lysate
Lane 3: Human colon cancer tissue lysate
Loading : 15μg
Dilution : 2 μg/ml

4 / 12
Anti-CDKN2A / p16INK4a antibody used in Western Blot (WB). GTX05147
GTX05147 WB Image

WB analysis of 293 WT and CDKN2A KO cell lysates using GTX05147 CDKN2A / p16INK4a antibody.
Loading : 10μg
Dilution : 2μg/ml

5 / 12
Anti-CDKN2A / p16INK4a antibody used in Immunocytochemistry/ Immunofluorescence (ICC/IF). GTX05147
GTX05147 ICC/IF Image

ICC/IF analysis of methanol-fixed HeLa cells using GTX05147 CDKN2A / p16INK4a antibody.
Red : Primary antibody
Green : Tubulin
Blue : Hoechst
Loading : 20 μg/mL

6 / 12
Anti-CDKN2A / p16INK4a antibody used in Western Blot (WB). GTX05147
GTX05147 WB Image

WB analysis of various samples using GTX05147 CDKN2A / p16INK4a antibody.
Loading : 15μg
Dilution : 2 μg/ml

7 / 12
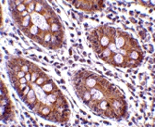
Anti-CDKN2A / p16INK4a antibody used in IHC (Paraffin sections) (IHC-P). GTX05147
GTX05147 IHC-P Image

IHC-P analysis of human colon tissue using GTX05147 CDKN2A / p16INK4a antibody.Counter stained with Hematoxylin.
Antigen retrieval : Heat mediated antigen retrieval performed with citrate buffer (pH6.0)
Dilution : 10 μg/mL

8 / 12
Anti-CDKN2A / p16INK4a antibody used in Western Blot (WB). GTX05147
GTX05147 WB Image

WB analysis of various samples using GTX05147 CDKN2A / p16INK4a antibody.
Arrow : monomer and dimer
Lane 1 : Human prostate (benign hyperplasia) tissue lysate
Lane 2 : Human CDKN2A recombinant protein
Loading : 15μg
Dilution : 4 μg/ml

9 / 12
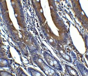
Anti-CDKN2A / p16INK4a antibody used in IHC (Paraffin sections) (IHC-P). GTX05147
GTX05147 IHC-P Image

IHC-P analysis of rat colon tissue using GTX05147 CDKN2A / p16INK4a antibody.
Antigen retrieval : Heat mediated antigen retrieval performed with citrate buffer (pH6.0)
Dilution : 5 μg/mL

10 / 12
Anti-CDKN2A / p16INK4a antibody used in IHC (Paraffin sections) (IHC-P). GTX05147
GTX05147 IHC-P Image

IHC-P analysis of human colon tissue using GTX05147 CDKN2A / p16INK4a antibody.
Green : Primary antibody
Blue : DAPI
Dilution : 20 μg/mL

11 / 12
Anti-CDKN2A / p16INK4a antibody used in Western Blot (WB). GTX05147
GTX05147 WB Image

WB analysis of various samples using GTX05147 CDKN2A / p16INK4a antibody.
Loading : 15μg
Dilution : 4 μg/ml

12 / 12
Anti-CDKN2A / p16INK4a antibody used in Western Blot (WB). GTX05147
Anti-CDKN2A / p16INK4a antibody used in IHC (Paraffin sections) (IHC-P). GTX05147
Anti-CDKN2A / p16INK4a antibody used in Immunocytochemistry/ Immunofluorescence (ICC/IF). GTX05147
Anti-CDKN2A / p16INK4a antibody used in Western Blot (WB). GTX05147
Anti-CDKN2A / p16INK4a antibody used in Western Blot (WB). GTX05147
Anti-CDKN2A / p16INK4a antibody used in Immunocytochemistry/ Immunofluorescence (ICC/IF). GTX05147
Anti-CDKN2A / p16INK4a antibody used in Western Blot (WB). GTX05147
Anti-CDKN2A / p16INK4a antibody used in IHC (Paraffin sections) (IHC-P). GTX05147
Anti-CDKN2A / p16INK4a antibody used in Western Blot (WB). GTX05147
Anti-CDKN2A / p16INK4a antibody used in IHC (Paraffin sections) (IHC-P). GTX05147
Anti-CDKN2A / p16INK4a antibody used in IHC (Paraffin sections) (IHC-P). GTX05147
Anti-CDKN2A / p16INK4a antibody used in Western Blot (WB). GTX05147
  • Host
    Rabbit
  • Clonality
    Polyclonal
  • Isotype
    IgG
  • Applications
    WB ICC/IF IHC-P ELISA
  • Reactivity
    Human, Mouse, Rat
See all CDKN2A / p16INK4a products