CFDP1 antibody [GT9612]

Cat. No. GTX629476
Cat. No.  GTX629476
Anti-CFDP1 antibody [GT9612] used in Western Blot (WB). GTX629476
GTX629476 WB Image

Non-transfected (–) and transfected (+) 293T whole cell extracts (30 μg) were separated by 10% SDS-PAGE, and the membrane was blotted with CFDP1 antibody [GT9612] (GTX629476) diluted at 1:500.

1 / 4
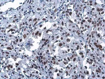
Anti-CFDP1 antibody [GT9612] used in IHC (Paraffin sections) (IHC-P). GTX629476
GTX629476 IHC-P Image

CFDP1 antibody [GT9612] detects CFDP1 protein at nucleus by immunohistochemical analysis.
Sample: Paraffin-embedded human breast carcinoma.
CFDP1 stained by CFDP1 antibody [GT9612] (GTX629476) diluted at 1:100.
Antigen Retrieval: Citrate buffer, pH 6.0, 15 min

2 / 4
Anti-CFDP1 antibody [GT9612] used in Western Blot (WB). GTX629476
GTX629476 WB Image

CFDP1 antibody [GT9612] detects 0 protein by Western blot analysis.
A. 30 μg U87-MG whole cell lysate/extract
B. 30 μg SK-N-SH whole cell lysate/extract
C. 30 μg IMR32 whole cell lysate/extract
D. 30 μg SK-N-AS whole cell lysate/extract
12 % SDS-PAGE
CFDP1 antibody [GT9612] (GTX629476) dilution: 1:1000

3 / 4
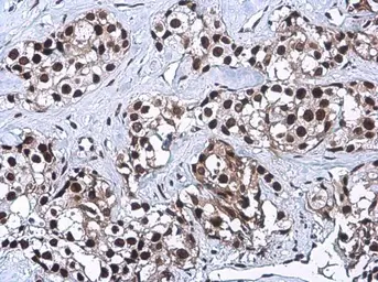
Anti-CFDP1 antibody [GT9612] used in IHC (Paraffin sections) (IHC-P). GTX629476
GTX629476 IHC-P Image

CFDP1 antibody [GT9612] detects CFDP1 protein at nucleus by immunohistochemical analysis.
Sample: Paraffin-embedded human ovarian cancer.
CFDP1 stained by CFDP1 antibody [GT9612] (GTX629476) diluted at 1:100.
Antigen Retrieval: Citrate buffer, pH 6.0, 15 min

4 / 4
Anti-CFDP1 antibody [GT9612] used in Western Blot (WB). GTX629476
Anti-CFDP1 antibody [GT9612] used in IHC (Paraffin sections) (IHC-P). GTX629476
Anti-CFDP1 antibody [GT9612] used in Western Blot (WB). GTX629476
Anti-CFDP1 antibody [GT9612] used in IHC (Paraffin sections) (IHC-P). GTX629476
  • Host
    Mouse
  • Clonality
    Monoclonal
  • Clone Name
    GT9612
  • Isotype
    IgG2b
  • Applications
    WB IHC-P
  • Reactivity
    Human
See all CFDP1 products