CFDP1 antibody

Cat. No. GTX128024
Cat. No.  GTX128024
Anti-CFDP1 antibody used in Western Blot (WB). GTX128024
GTX128024 WB Image

Non-transfected (–) and transfected (+) 293T whole cell extracts (30 μg) were separated by 10% SDS-PAGE, and the membrane was blotted with CFDP1 antibody (GTX128024) diluted at 1:6000.

1 / 7
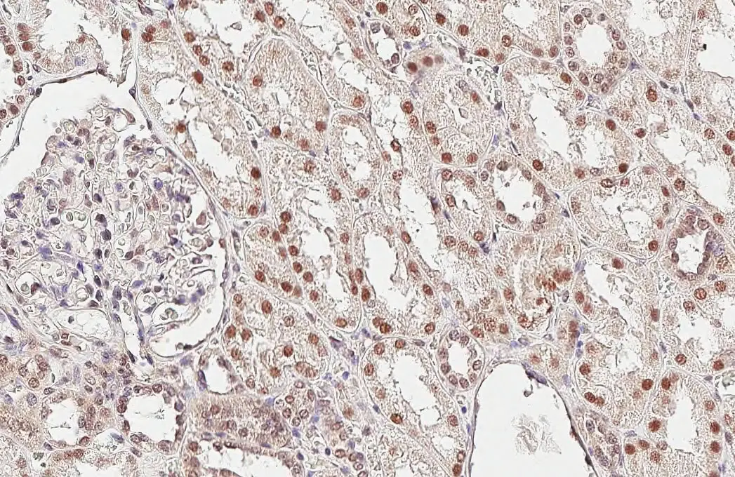
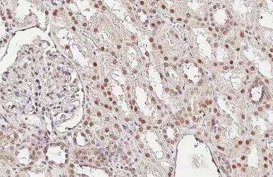
Anti-CFDP1 antibody used in IHC (Paraffin sections) (IHC-P). GTX128024
GTX128024 IHC-P Image

CFDP1 antibody detects CFDP1 protein by immunohistochemical analysis.
Sample: Paraffin-embedded human kidney.
CFDP1 stained by CFDP1 antibody (GTX128024) diluted at 1:1000.
Antigen Retrieval: Citrate buffer, pH 6.0, 15 min

2 / 7
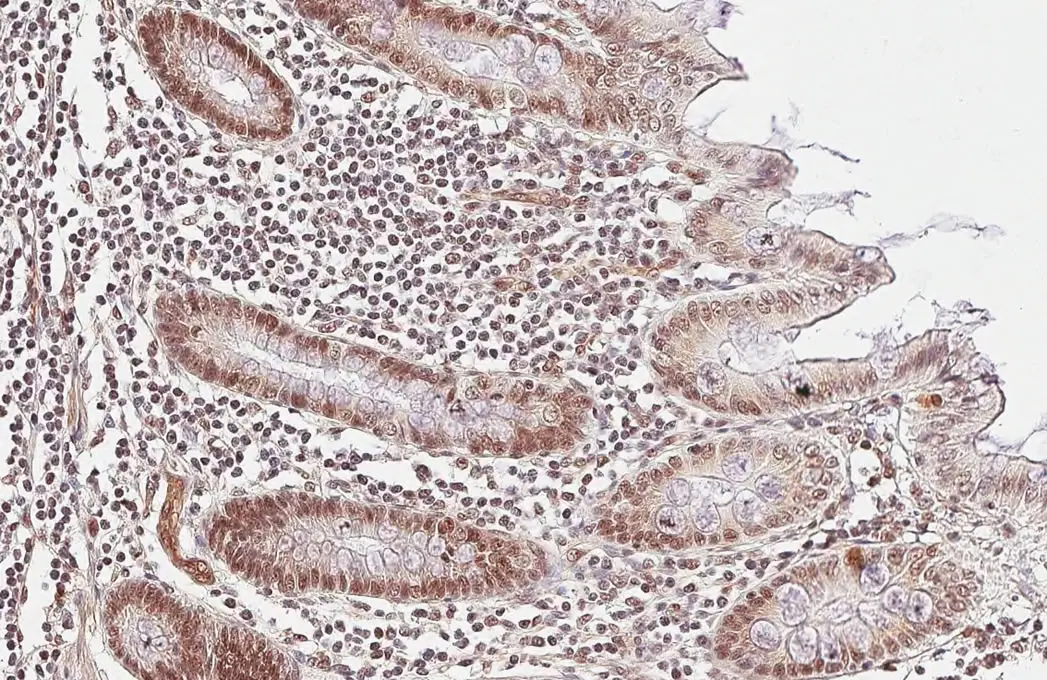
Anti-CFDP1 antibody used in IHC (Paraffin sections) (IHC-P). GTX128024
GTX128024 IHC-P Image

CFDP1 antibody detects CFDP1 protein by immunohistochemical analysis.
Sample: Paraffin-embedded human colon.
CFDP1 stained by CFDP1 antibody (GTX128024) diluted at 1:1000.
Antigen Retrieval: Citrate buffer, pH 6.0, 15 min

3 / 7
Anti-CFDP1 antibody used in Western Blot (WB). GTX128024
GTX128024 WB Image

Whole cell extract (30 μg) was separated by 10% SDS-PAGE, and the membrane was blotted with CFDP1 antibody (GTX128024) diluted at 1:5000. The HRP-conjugated anti-rabbit IgG antibody (GTX213110-01) was used to detect the primary antibody, and the signal was developed with Trident femto Western HRP Substrate.

4 / 7
Anti-CFDP1 antibody used in IHC (Paraffin sections) (IHC-P). GTX128024
GTX128024 IHC-P Image

CFDP1 antibody detects CFDP1 protein at nucleus by immunohistochemical analysis.
Sample: Paraffin-embedded human breast carcinoma.
CFDP1 stained by CFDP1 antibody (GTX128024) diluted at 1:1000.
Antigen Retrieval: Citrate buffer, pH 6.0, 15 min

5 / 7
Anti-CFDP1 antibody used in Immunocytochemistry/ Immunofluorescence (ICC/IF). GTX128024
GTX128024 ICC/IF Image

CFDP1 antibody detects CFDP1 protein at nucleus by immunofluorescent analysis.
Sample: HeLa cells were fixed in 4% paraformaldehyde at RT for 15 min.
Green: CFDP1 stained by CFDP1 antibody (GTX128024) diluted at 1:1500.
Red: alpha Tubulin, a cytoskeleton marker, stained by alpha Tubulin antibody [GT114] (GTX628802) diluted at 1:500.
Scale bar= 10 μm.

6 / 7
Anti-CFDP1 antibody used in IHC (Frozen sections) (IHC-Fr). GTX128024
GTX128024 IHC-Fr Image

CFDP1 antibody detects CFDP1 protein by immunohistochemical analysis.
Sample: Frozen-sectioned mouse mouse cerebellum.
Green: CFDP1 stained by CFDP1 antibody (GTX128024) diluted at 1:250.
Red: NF-H, stained by NF-H antibody [GT114] (GTX634289) diluted at 1:500.
Blue: Fluoroshield with DAPI (GTX30920).

7 / 7
Anti-CFDP1 antibody used in Western Blot (WB). GTX128024
Anti-CFDP1 antibody used in IHC (Paraffin sections) (IHC-P). GTX128024
Anti-CFDP1 antibody used in IHC (Paraffin sections) (IHC-P). GTX128024
Anti-CFDP1 antibody used in Western Blot (WB). GTX128024
Anti-CFDP1 antibody used in IHC (Paraffin sections) (IHC-P). GTX128024
Anti-CFDP1 antibody used in Immunocytochemistry/ Immunofluorescence (ICC/IF). GTX128024
Anti-CFDP1 antibody used in IHC (Frozen sections) (IHC-Fr). GTX128024
  • Host
    Rabbit
  • Clonality
    Polyclonal
  • Isotype
    IgG
  • Applications
    WB ICC/IF IHC-P IHC-Fr
  • Reactivity
    Human, Mouse
See all CFDP1 products