CHCHD3 antibody

Cat. No. GTX64550
Cat. No.  GTX64550
Anti-CHCHD3 antibody used in Immunocytochemistry/ Immunofluorescence (ICC/IF). GTX64550
GTX64550 ICC/IF Image

ICC/IF analysis of U2OS cells using GTX64550 CHCHD3 antibody.
Blue : DAPI
Dilution : 1:100

1 / 6
Anti-CHCHD3 antibody used in IHC (Paraffin sections) (IHC-P). GTX64550
GTX64550 IHC-P Image

IHC-P analysis of rat brain tissue using GTX64550 CHCHD3 antibody.
Dilution : 1:100

2 / 6
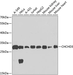
Anti-CHCHD3 antibody used in Western Blot (WB). GTX64550
GTX64550 WB Image

WB analysis of various sample lysates using GTX64550 CHCHD3 antibody.
Dilution : 1:1000
Loading : 25μg per lane

3 / 6
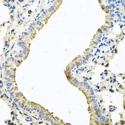
Anti-CHCHD3 antibody used in IHC (Paraffin sections) (IHC-P). GTX64550
GTX64550 IHC-P Image

IHC-P analysis of mouse lung tissue using GTX64550 CHCHD3 antibody.
Dilution : 1:100

4 / 6
Anti-CHCHD3 antibody used in IHC (Paraffin sections) (IHC-P). GTX64550
GTX64550 IHC-P Image

IHC-P analysis of mouse brain tissue using GTX64550 CHCHD3 antibody.
Dilution : 1:100

5 / 6
Anti-CHCHD3 antibody used in Immunoprecipitation (IP). GTX64550
GTX64550 IP Image

IP analysis of mouse liver tissue lysate using GTX64550 CHCHD3 antibody.
Antibody amount : 3μg / 600μg lysate
Dilution : 1:1000

6 / 6
Anti-CHCHD3 antibody used in Immunocytochemistry/ Immunofluorescence (ICC/IF). GTX64550
Anti-CHCHD3 antibody used in IHC (Paraffin sections) (IHC-P). GTX64550
Anti-CHCHD3 antibody used in Western Blot (WB). GTX64550
Anti-CHCHD3 antibody used in IHC (Paraffin sections) (IHC-P). GTX64550
Anti-CHCHD3 antibody used in IHC (Paraffin sections) (IHC-P). GTX64550
Anti-CHCHD3 antibody used in Immunoprecipitation (IP). GTX64550
  • Host
    Rabbit
  • Clonality
    Polyclonal
  • Isotype
    IgG
  • Applications
    WB ICC/IF IHC-P IP
  • Reactivity
    Human, Mouse, Rat
See all CHCHD3 products