CHMP1B antibody

Cat. No. GTX32520
Cat. No.  GTX32520
Anti-CHMP1B antibody used in IHC (Paraffin sections) (IHC-P). GTX32520
GTX32520 IHC-P Image

IHC-P analysis of rat brain tissue using GTX32520 CHMP1B antibody.
Dilution : 1:100

1 / 4
Anti-CHMP1B antibody used in IHC (Paraffin sections) (IHC-P). GTX32520
GTX32520 IHC-P Image

IHC-P analysis of mouse kidney tissue using GTX32520 CHMP1B antibody.
Dilution : 1:100

2 / 4
Anti-CHMP1B antibody used in IHC (Paraffin sections) (IHC-P). GTX32520
GTX32520 IHC-P Image

IHC-P analysis of human liver damage tissue using GTX32520 CHMP1B antibody.
Dilution : 1:100

3 / 4
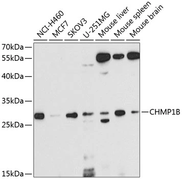
Anti-CHMP1B antibody used in Western Blot (WB). GTX32520
GTX32520 WB Image

WB analysis of various sample lysates using GTX32520 CHMP1B antibody.
Dilution : 1:1000
Loading : 25μg per lane

4 / 4
Anti-CHMP1B antibody used in IHC (Paraffin sections) (IHC-P). GTX32520
Anti-CHMP1B antibody used in IHC (Paraffin sections) (IHC-P). GTX32520
Anti-CHMP1B antibody used in IHC (Paraffin sections) (IHC-P). GTX32520
Anti-CHMP1B antibody used in Western Blot (WB). GTX32520
  • Host
    Rabbit
  • Clonality
    Polyclonal
  • Isotype
    IgG
  • Applications
    WB IHC-P
  • Reactivity
    Human, Mouse, Rat
See all CHMP1B products