CHST15 antibody [N3C2], Internal

Cat. No. GTX120568
Cat. No.  GTX120568
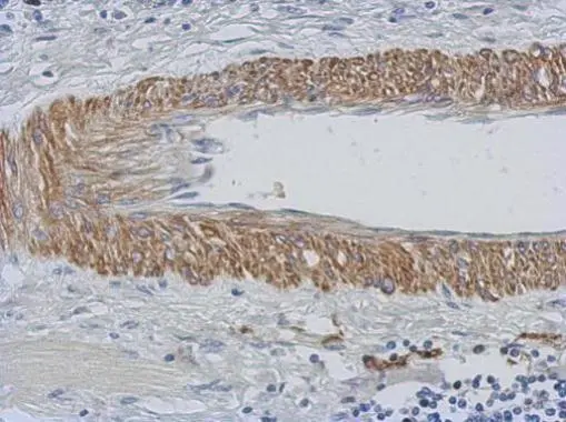
Anti-CHST15 antibody [N3C2], Internal used in IHC (Paraffin sections) (IHC-P). GTX120568
GTX120568 IHC-P Image

Immunohistochemical analysis of paraffin-embedded human gastric cancer, using CHST15(GTX120568) antibody at 1:500 dilution.
Antigen Retrieval: Trilogy™ (EDTA based, pH 8.0) buffer, 15min

1 / 2
Anti-CHST15 antibody [N3C2], Internal used in Western Blot (WB). GTX120568
GTX120568 WB Image

Whole cell extract (30 μg) was separated by 7.5% SDS-PAGE, and the membrane was blotted with CHST15 antibody [N3C2], Internal (GTX120568) diluted at 1:500. The HRP-conjugated anti-rabbit IgG antibody (GTX213110-01) was used to detect the primary antibody, and the signal was developed with Trident ECL plus-Enhanced.

2 / 2
Anti-CHST15 antibody [N3C2], Internal used in IHC (Paraffin sections) (IHC-P). GTX120568
Anti-CHST15 antibody [N3C2], Internal used in Western Blot (WB). GTX120568
  • Host
    Rabbit
  • Clonality
    Polyclonal
  • Isotype
    IgG
  • Applications
    WB IHC-P
  • Reactivity
    Human
See all CHST15 products