CIDE A antibody

Cat. No. GTX25692
Cat. No.  GTX25692
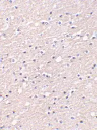
Anti-CIDE A antibody used in IHC (Paraffin sections) (IHC-P). GTX25692
GTX25692 IHC-P Image

IHC-P analysis of Human Brain cells using GTX25692 CIDE A antibody.
Dilution : 20 μg/ml

1 / 3
Anti-CIDE A antibody used in Western Blot (WB). GTX25692
GTX25692 WB Image

Western blot analysis of CIDE-A in human brain tissue lysate in the absence (A) or presence (B) of immunogenic peptide with CIDE-A antibody (GTX25692)at 0.5ug/ml.

2 / 3
Anti-CIDE A antibody used in IHC (Paraffin sections) (IHC-P). GTX25692
GTX25692 IHC-P Image

Immunohistochemical staining of CIDE-A in human brain tissue with CIDE-A antibody (GTX25692) at 5μg/ml

3 / 3
Anti-CIDE A antibody used in IHC (Paraffin sections) (IHC-P). GTX25692
Anti-CIDE A antibody used in Western Blot (WB). GTX25692
Anti-CIDE A antibody used in IHC (Paraffin sections) (IHC-P). GTX25692
  • Host
    Rabbit
  • Clonality
    Polyclonal
  • Isotype
    IgG
  • Applications
    WB IHC-P ELISA
  • Reactivity
    Human
See all CIDE A products