CIRBP antibody

Cat. No. GTX33096
Cat. No.  GTX33096
Anti-CIRBP antibody used in Immunocytochemistry/ Immunofluorescence (ICC/IF). GTX33096
GTX33096 ICC/IF Image

ICC/IF analysis of HeLa cells using GTX33096 CIRBP antibody.
Blue : DAPI

1 / 6
Anti-CIRBP antibody used in Western Blot (WB). GTX33096
GTX33096 WB Image

WB analysis of normal (control) and knockout (KO) 293T cell lysate using GTX33096 CIRBP antibody.
Dilution : 1:1000
Loading : 25μg per lane

2 / 6
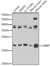
Anti-CIRBP antibody used in Western Blot (WB). GTX33096
GTX33096 WB Image

WB analysis of various sample lysates using GTX33096 CIRBP antibody.
Dilution : 1:1000
Loading : 25μg per lane

3 / 6
Anti-CIRBP antibody used in IHC (Paraffin sections) (IHC-P). GTX33096
GTX33096 IHC-P Image

IHC-P analysis of human breast cancer tissue using GTX33096 CIRBP antibody.
Dilution : 1:100

4 / 6
Anti-CIRBP antibody used in IHC (Paraffin sections) (IHC-P). GTX33096
GTX33096 IHC-P Image

IHC-P analysis of rat testis tissue using GTX33096 CIRBP antibody.
Dilution : 1:100

5 / 6
Anti-CIRBP antibody used in IHC (Paraffin sections) (IHC-P). GTX33096
GTX33096 IHC-P Image

IHC-P analysis of mouse testis tissue using GTX33096 CIRBP antibody.
Dilution : 1:100

6 / 6
Anti-CIRBP antibody used in Immunocytochemistry/ Immunofluorescence (ICC/IF). GTX33096
Anti-CIRBP antibody used in Western Blot (WB). GTX33096
Anti-CIRBP antibody used in Western Blot (WB). GTX33096
Anti-CIRBP antibody used in IHC (Paraffin sections) (IHC-P). GTX33096
Anti-CIRBP antibody used in IHC (Paraffin sections) (IHC-P). GTX33096
Anti-CIRBP antibody used in IHC (Paraffin sections) (IHC-P). GTX33096
  • Host
    Rabbit
  • Clonality
    Polyclonal
  • Isotype
    IgG
  • Applications
    WB ICC/IF IHC-P
  • Reactivity
    Human, Mouse, Rat
See all CIRBP products