CKAP4 antibody [N3C3]

Cat. No. GTX120087
Cat. No.  GTX120087
Anti-CKAP4 antibody [N3C3] used in Western Blot (WB). GTX120087
GTX120087 WB Image

Various tissue extracts (50 μg) were separated by 7.5% SDS-PAGE, and the membrane was blotted with CKAP4 antibody [N3C3] (GTX120087) diluted at 1:1000. The HRP-conjugated anti-rabbit IgG antibody (GTX213110-01) was used to detect the primary antibody.

1 / 6
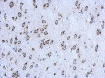
Anti-CKAP4 antibody [N3C3] used in IHC (Paraffin sections) (IHC-P). GTX120087
GTX120087 IHC-P Image

CKAP4 antibody [N3C3] detects CKAP4 protein at cell membrane and cytoplasm by immunohistochemical analysis.
Sample: Paraffin-embedded mouse brain.
CKAP4 stained by CKAP4 antibody [N3C3] (GTX120087) diluted at 1:500.
Antigen Retrieval: Citrate buffer, pH 6.0, 15 min

2 / 6
Anti-CKAP4 antibody [N3C3] used in IHC (Paraffin sections) (IHC-P). GTX120087
GTX120087 IHC-P Image

Immunohistochemical analysis of paraffin-embedded CL1-5 xenograft, using CKAP4(GTX120087) antibody at 1:500 dilution.
Antigen Retrieval: Trilogy™ (EDTA based, pH 8.0) buffer, 15min

3 / 6
Anti-CKAP4 antibody [N3C3] used in IHC (Paraffin sections) (IHC-P). GTX120087
GTX120087 IHC-P Image

CKAP4 antibody [N3C3] detects CKAP4 protein at cytoplasm and membrane in human colon cancer by immunohistochemical analysis.
Sample: Paraffin-embedded human colon cancer.
CKAP4 antibody [N3C3] (GTX120087) diluted at 1:500.

Antigen Retrieval: Citrate buffer, pH 6.0, 15 min

4 / 6
Anti-CKAP4 antibody [N3C3] used in Immunocytochemistry/ Immunofluorescence (ICC/IF). GTX120087
GTX120087 ICC/IF Image

CKAP4 antibody [N3C3] detects CKAP4 protein at endoplasmic reticulum by immunofluorescent analysis.
Sample: HeLa cells were fixed in ice-cold MeOH for 5 min.
Green: CKAP4 stained by CKAP4 antibody [N3C3] (GTX120087) diluted at 1:1000.
Red: alpha Tubulin, a cytoskeleton marker, stained by alpha Tubulin antibody [GT114] (GTX628802) diluted at 1:1000.
Blue: Fluoroshield with DAPI (GTX30920).

5 / 6
Anti-CKAP4 antibody [N3C3] used in Western Blot (WB). GTX120087
GTX120087 WB Image

Various whole cell extracts (30 μg) were separated by 7.5% SDS-PAGE, and the membrane was blotted with CKAP4 antibody [N3C3] (GTX120087) diluted at 1:10000. The HRP-conjugated anti-rabbit IgG antibody (GTX213110-01) was used to detect the primary antibody.

6 / 6
Anti-CKAP4 antibody [N3C3] used in Western Blot (WB). GTX120087
Anti-CKAP4 antibody [N3C3] used in IHC (Paraffin sections) (IHC-P). GTX120087
Anti-CKAP4 antibody [N3C3] used in IHC (Paraffin sections) (IHC-P). GTX120087
Anti-CKAP4 antibody [N3C3] used in IHC (Paraffin sections) (IHC-P). GTX120087
Anti-CKAP4 antibody [N3C3] used in Immunocytochemistry/ Immunofluorescence (ICC/IF). GTX120087
Anti-CKAP4 antibody [N3C3] used in Western Blot (WB). GTX120087
  • Host
    Rabbit
  • Clonality
    Polyclonal
  • Isotype
    IgG
  • Applications
    WB ICC/IF IHC-P IP
  • Reactivity
    Human, Mouse, Rat
See all CKAP4 products