CLIC5 antibody, C-term

Cat. No. GTX47671
Cat. No.  GTX47671
Anti-CLIC5 antibody, C-term used in Western Blot (WB). GTX47671
GTX47671 WB Image

WB analysis of Jurkat cells using GTX47671 CLIC5 antibody at 1.25μg/ml.
Lane 1: marker
Lane 2: Jurkat cells

1 / 2
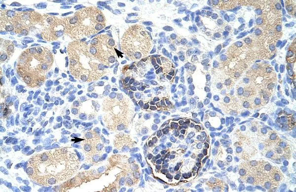
Anti-CLIC5 antibody, C-term used in IHC (Paraffin sections) (IHC-P). GTX47671
GTX47671 IHC-P Image

IHC-P analysis of human kidney tissue using GTX47671 CLIC5 antibody at 4.0-8.0μg/ml.

2 / 2
Anti-CLIC5 antibody, C-term used in Western Blot (WB). GTX47671
Anti-CLIC5 antibody, C-term used in IHC (Paraffin sections) (IHC-P). GTX47671
  • Host
    Rabbit
  • Clonality
    Polyclonal
  • Isotype
    IgG
  • Applications
    WB IHC-P
  • Reactivity
    Human
See all CLIC5 products