CLOCK antibody [HL1099]

Cat. No. GTX636283
Cat. No.  GTX636283
Anti-CLOCK antibody [HL1099] used in Western Blot (WB). GTX636283
GTX636283 WB Image

Wild-type (WT) and NME4 knockout (KO) HeLa cell extracts (30 μg) were separated by 7.5% SDS-PAGE, and the membrane was blotted with CLOCK antibody [HL1099] (GTX636283) diluted at 1:1000. The HRP-conjugated anti-rabbit IgG antibody (GTX213110-01) was used to detect the primary antibody.

1 / 6
Anti-CLOCK antibody [HL1099] used in Western Blot (WB). GTX636283
GTX636283 WB Image

Whole cell extract (30 μg) was separated by 7.5% SDS-PAGE, and the membranes were blotted with CLOCK antibody [HL1099] (GTX636283) diluted at 1:2000 and competitor's antibody (# Highly Cited Antibody) diluted at 1:2000. The HRP-conjugated anti-rabbit IgG antibody (GTX213110-01) was used to detect the primary antibody, and the signal was developed with Trident ECL plus-Enhanced.

*The competitor is not affiliated with GeneTex and does not endorse this product.

2 / 6
Anti-CLOCK antibody [HL1099] used in Western Blot (WB). GTX636283
GTX636283 WB Image

Whole cell extract (30 μg) was separated by 7.5% SDS-PAGE, and the membranes were blotted with CLOCK antibody [HL1099] (GTX636283) diluted at 1:2000 and competitor's antibody (# Highly Cited Antibody) diluted at 1:2000. The HRP-conjugated anti-rabbit IgG antibody (GTX213110-01) was used to detect the primary antibody, and the signal was developed with Trident ECL plus-Enhanced.

*The competitor is not affiliated with GeneTex and does not endorse this product.

3 / 6
Anti-CLOCK antibody [HL1099] used in Western Blot (WB). GTX636283
GTX636283 WB Image

Untreated (–) and treated (+) 293T whole cell extracts (30 μg) were separated by 7.5% SDS-PAGE, and the membrane was blotted with CLOCK antibody [HL1099] (GTX636283) diluted at 1:1000. The HRP-conjugated anti-rabbit IgG antibody (GTX213110-01) was used to detect the primary antibody.

4 / 6
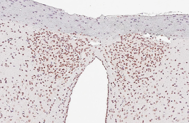
Anti-CLOCK antibody [HL1099] used in IHC (Paraffin sections) (IHC-P). GTX636283
GTX636283 IHC-P Image

CLOCK antibody [HL1099] detects CLOCK protein by immunohistochemical analysis.
Sample: Paraffin-embedded mouse suprachiasmatic nucleus.
CLOCK stained by CLOCK antibody [HL1099] (GTX636283) diluted at 1:2000.
Antigen Retrieval: Citrate buffer, pH 6.0, 15 min

5 / 6
Anti-CLOCK antibody [HL1099] used in Immunocytochemistry/ Immunofluorescence (ICC/IF). GTX636283
GTX636283 ICC/IF Image

CLOCK antibody [HL1099] detects CLOCK protein by immunofluorescent analysis.
Sample: DIV9 rat hippocampal neuron cells were fixed in 4% paraformaldehyde at RT for 15 min.
Green: CLOCK stained by CLOCK antibody [HL1099] (GTX636283) diluted at 1:500.
Red: Tau, an axon marker, stained by Tau antibody [GT287] (GTX634809) diluted at 1:500.
Blue: Fluoroshield with DAPI (GTX30920).

6 / 6
Anti-CLOCK antibody [HL1099] used in Western Blot (WB). GTX636283
Anti-CLOCK antibody [HL1099] used in Western Blot (WB). GTX636283
Anti-CLOCK antibody [HL1099] used in Western Blot (WB). GTX636283
Anti-CLOCK antibody [HL1099] used in Western Blot (WB). GTX636283
Anti-CLOCK antibody [HL1099] used in IHC (Paraffin sections) (IHC-P). GTX636283
Anti-CLOCK antibody [HL1099] used in Immunocytochemistry/ Immunofluorescence (ICC/IF). GTX636283
  • Host
    Rabbit
  • Clonality
    Monoclonal
  • Clone Name
    HL1099
  • Isotype
    IgG
  • Applications
    WB ICC/IF IHC-P
  • Reactivity
    Human, Mouse, Rat
See all CLOCK products