CMG1 antibody

Cat. No. GTX64834
Cat. No.  GTX64834
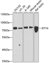
Anti-CMG1 antibody used in Western Blot (WB). GTX64834
GTX64834 WB Image

WB analysis of various sample lysates using GTX64834 CMG1 antibody.
Dilution : 1:3000
Loading : 25μg per lane

1 / 1
Anti-CMG1 antibody used in Western Blot (WB). GTX64834
  • Host
    Rabbit
  • Clonality
    Polyclonal
  • Isotype
    IgG
  • Applications
    WB
  • Reactivity
    Human, Mouse, Rat
See all CMG1 products