COL1A1 antibody [GT91]

Cat. No. GTX642024
Cat. No.  GTX642024
Anti-COL1A1 antibody [GT91] used in Western Blot (WB). GTX642024
GTX642024 WB Image

Various whole cell extracts (30 μg) were separated by 5% SDS-PAGE, and the membrane was blotted with COL1A1 antibody [GT91] (GTX642024) diluted at 1:1000. The HRP-conjugated anti-mouse IgG antibody (GTX213111-01) was used to detect the primary antibody. Corresponding RNA expression data are based on Human Protein Atlas program.

1 / 5
Anti-COL1A1 antibody [GT91] used in Western Blot (WB). GTX642024
GTX642024 WB Image

Various whole cell extracts (30 μg) were separated by 5% SDS-PAGE, and the membrane was blotted with COL1A1 antibody [GT91] (GTX642024) diluted at 1:1000. The HRP-conjugated anti-mouse IgG antibody (GTX213111-01) was used to detect the primary antibody. Corresponding RNA expression data are based on Human Protein Atlas program.

2 / 5
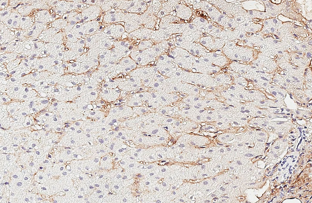
Anti-COL1A1 antibody [GT91] used in IHC (Paraffin sections) (IHC-P). GTX642024
GTX642024 IHC-P Image

COL1A1 antibody [GT91] detects COL1A1 protein by immunohistochemical analysis.
Sample: Paraffin-embedded human liver.
COL1A1 stained by COL1A1 antibody [GT91] (GTX642024) diluted at 1:100.
Antigen Retrieval: Citrate buffer, pH 6.0, 15 min

3 / 5
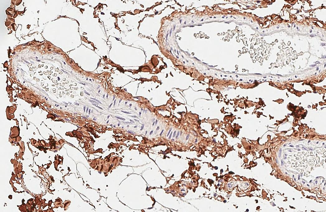
Anti-COL1A1 antibody [GT91] used in IHC (Paraffin sections) (IHC-P). GTX642024
GTX642024 IHC-P Image

COL1A1 antibody [GT91] detects COL1A1 protein by immunohistochemical analysis.
Sample: Paraffin-embedded human vessle.
COL1A1 stained by COL1A1 antibody [GT91] (GTX642024) diluted at 1:100.
Antigen Retrieval: Citrate buffer, pH 6.0, 15 min

4 / 5
Anti-COL1A1 antibody [GT91] used in Western Blot (WB). GTX642024
GTX642024 WB Image

Non-transfected (–) and transfected (+) 293T whole cell extracts were separated by 5% SDS-PAGE, and the membranes were blotted with COL1A1 antibody [GT91] (GTX642024) diluted at 1:5000. The HRP-conjugated anti-mouse IgG antibody (GTX213111-01) was used to detect the primary antibody. Corresponding RNA expression data for the same cell lines are based on Human Protein Atlas program.

5 / 5
Anti-COL1A1 antibody [GT91] used in Western Blot (WB). GTX642024
Anti-COL1A1 antibody [GT91] used in Western Blot (WB). GTX642024
Anti-COL1A1 antibody [GT91] used in IHC (Paraffin sections) (IHC-P). GTX642024
Anti-COL1A1 antibody [GT91] used in IHC (Paraffin sections) (IHC-P). GTX642024
Anti-COL1A1 antibody [GT91] used in Western Blot (WB). GTX642024
  • Host
    Mouse
  • Clonality
    Monoclonal
  • Clone Name
    GT91
  • Isotype
    IgG2a
  • Applications
    WB IHC-P
  • Reactivity
    Human
See all COL1A1 products