COLEC12 antibody

Cat. No. GTX66059
Cat. No.  GTX66059
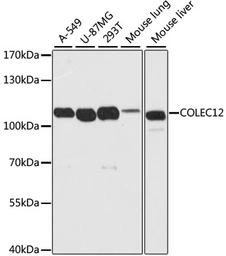
Anti-COLEC12 antibody used in Western Blot (WB). GTX66059
GTX66059 WB Image

WB analysis of various sample lysates using GTX66059 COLEC12 antibody.
Dilution : 1:2000
Loading : 25μg per lane

1 / 1
Anti-COLEC12 antibody used in Western Blot (WB). GTX66059
  • Host
    Rabbit
  • Clonality
    Polyclonal
  • Isotype
    IgG
  • Applications
    WB
  • Reactivity
    Human, Mouse
See all COLEC12 products