COPD antibody [GT1318]

Cat. No. GTX630562
Cat. No.  GTX630562
Anti-COPD antibody [GT1318] used in Western Blot (WB). GTX630562
GTX630562 WB Image

Non-transfected (–) and transfected (+) 293T whole cell extracts (30 μg) were separated by 7.5% SDS-PAGE, and the membrane was blotted with COPD antibody [GT1318] (GTX630562) diluted at 1:3000.

1 / 8
Anti-COPD antibody [GT1318] used in Western Blot (WB). GTX630562
GTX630562 WB Image

COPD antibody [GT1318] detects COPD protein by western blot analysis.
A. 30 μg Neuro2A whole cell lysate/extract
B. 30 μg GL261 whole cell lysate/extract
C. 30 μg C8D30 whole cell lysate/extract
D. 30 μg NIH-3T3 whole cell lysate/extract
E. 30 μg BCL-1 whole cell lysate/extract
F. 30 μg Raw 264.7 whole cell lysate/extract
G. 30 μg C2Cl2 whole cell lysate/extract
7.5 % SDS-PAGE
COPD antibody [GT1318] (GTX630562) dilution: 1:1000

2 / 8
Anti-COPD antibody [GT1318] used in IHC (Paraffin sections) (IHC-P). GTX630562
GTX630562 IHC-P Image

COPD antibody [GT1318] detects COPD protein at cytoplasm by immunohistochemical analysis.
Sample: Paraffin-embedded mouse esophagus.
COPD stained by COPD antibody [GT1318] (GTX630562) diluted at 1:200.
Antigen Retrieval: Citrate buffer, pH 6.0, 15 min

3 / 8
Anti-COPD antibody [GT1318] used in Immunocytochemistry/ Immunofluorescence (ICC/IF). GTX630562
GTX630562 ICC/IF Image

COPD antibody [GT1318] detects COPD protein at Golgi apparatus by immunofluorescent analysis.
Sample: HeLa cells were fixed in 4% paraformaldehyde at RT for 15 min.
Green: COPD stained by COPD antibody [GT1318] (GTX630562) diluted at 1:500.
Blue: Hoechst 33342 staining.
Scale bar= 10μm.

4 / 8
Anti-COPD antibody [GT1318] used in IHC (Frozen sections) (IHC-Fr). GTX630562
GTX630562 IHC-Fr Image

COPD antibody [GT1318] detects COPD protein by immunohistochemical analysis.
Sample: Frozen-sectioned mouse mouse cerebellum.
Green: COPD stained by COPD antibody [GT1318] (GTX630562) diluted at 1:250.
Red: Calbindin, stained by Calbindin antibody (GTX130856) diluted at 1:500.
Blue: Fluoroshield with DAPI (GTX30920).
Antigen Retrieval: Citrate buffer, pH 6.0, 10 min

5 / 8
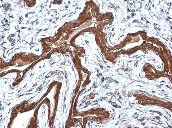
Anti-COPD antibody [GT1318] used in IHC (Paraffin sections) (IHC-P). GTX630562
GTX630562 IHC-P Image

COPD antibody [GT1318] detects COPD protein at cytoplasm by immunohistochemical analysis.
Sample: Paraffin-embedded rat urinary bladder.
COPD stained by COPD antibody [GT1318] (GTX630562) diluted at 1:200.
Antigen Retrieval: Citrate buffer, pH 6.0, 15 min

6 / 8
Anti-COPD antibody [GT1318] used in Western Blot (WB). GTX630562
GTX630562 WB Image

COPD antibody [GT1318] detects COPD protein by western blot analysis.
A. 30 μg 293T whole cell lysate/extract
B. 30 μg A431 whole cell lysate/extract
C. 30 μg HeLa whole cell lysate/extract |
D. 30 μg HepG2 whole cell lysate/extract
7.5 % SDS-PAGE
COPD antibody [GT1318] (GTX630562) dilution: 1:1000

7 / 8
Anti-COPD antibody [GT1318] used in Western Blot (WB). GTX630562
GTX630562 WB Image

COPD antibody [GT1318] detects COPD protein by western blot analysis.
A. 30 μg PC-12 whole cell lysate/extract
B. 30 μg Rat2 whole cell lysate/extract
7.5 % SDS-PAGE
COPD antibody [GT1318] (GTX630562) dilution: 1:1000

8 / 8
Anti-COPD antibody [GT1318] used in Western Blot (WB). GTX630562
Anti-COPD antibody [GT1318] used in Western Blot (WB). GTX630562
Anti-COPD antibody [GT1318] used in IHC (Paraffin sections) (IHC-P). GTX630562
Anti-COPD antibody [GT1318] used in Immunocytochemistry/ Immunofluorescence (ICC/IF). GTX630562
Anti-COPD antibody [GT1318] used in IHC (Frozen sections) (IHC-Fr). GTX630562
Anti-COPD antibody [GT1318] used in IHC (Paraffin sections) (IHC-P). GTX630562
Anti-COPD antibody [GT1318] used in Western Blot (WB). GTX630562
Anti-COPD antibody [GT1318] used in Western Blot (WB). GTX630562
  • Host
    Mouse
  • Clonality
    Monoclonal
  • Clone Name
    GT1318
  • Isotype
    IgG1
  • Applications
    WB ICC/IF IHC-P IHC-Fr
  • Reactivity
    Human, Mouse, Rat
See all COPD products