COX4I2 antibody

Cat. No. GTX132905
Cat. No.  GTX132905
Anti-COX4I2 antibody used in Immunocytochemistry/ Immunofluorescence (ICC/IF). GTX132905
GTX132905 ICC/IF Image

COX4I2 antibody detects COX4I2 protein at mitochondria by immunofluorescent analysis.
Sample: HeLa cells were fixed in 4% paraformaldehyde at RT for 15 min.
Green: COX4I2 stained by COX4I2 antibody (GTX132905) diluted at 1:1000.
Blue: Hoechst 33342 staining.
Scale bar= 10μm.

1 / 2
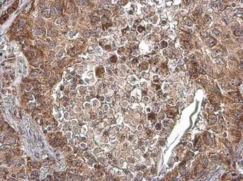
Anti-COX4I2 antibody used in IHC (Paraffin sections) (IHC-P). GTX132905
GTX132905 IHC-P Image

COX4I2 antibody detects COX4I2 protein at mitochondria by immunohistochemical analysis.
Sample: Paraffin-embedded human lung cancer.
COX4I2 stained by COX4I2 antibody (GTX132905) diluted at 1:500.
Antigen Retrieval: Tris-EDTA buffer, pH 9.0, 15 min

2 / 2
Anti-COX4I2 antibody used in Immunocytochemistry/ Immunofluorescence (ICC/IF). GTX132905
Anti-COX4I2 antibody used in IHC (Paraffin sections) (IHC-P). GTX132905
  • Host
    Rabbit
  • Clonality
    Polyclonal
  • Isotype
    IgG
  • Applications
    ICC/IF IHC-P
  • Reactivity
    Human
See all COX4I2 products